Компьютерная томография
Компьютерная томография – это современный метод, позволяющий визуализировать особенности строения мозга человека с помощью компьютера и рентгеновской установки (рис. 2.13).

Рис. 2.13. Сканирование с помощью метода компьютерной томографии (Carlson, 1992).
В установке, предназначенной для компьютерной томографии, источник рентгеновских лучей вращается в одной плоскости вокруг головы, а рентгеновские детекторы постоянно регистрируют интенсивность проходящего сквозь голову излучения. Компьютерные программы преобразуют полученные данные в рисунки срезов мозга различной глубины (рис. 2.14). Толщина подобных срезов может не превышать 5 мм.

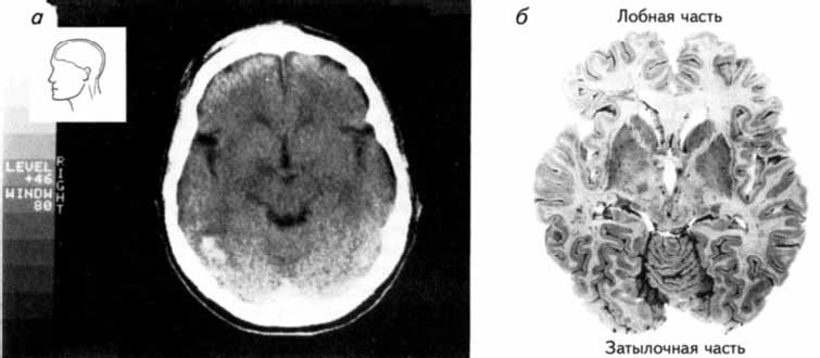
Рис. 2.14. Сканирование с помощью метода компьютерной томографии.
(а) Снимок, полученный на компьютерном томографе; (б) Фотография среза мозга на том же уровне, что и на снимке, приведенном на рисунке (а) (Carlson, 1992).
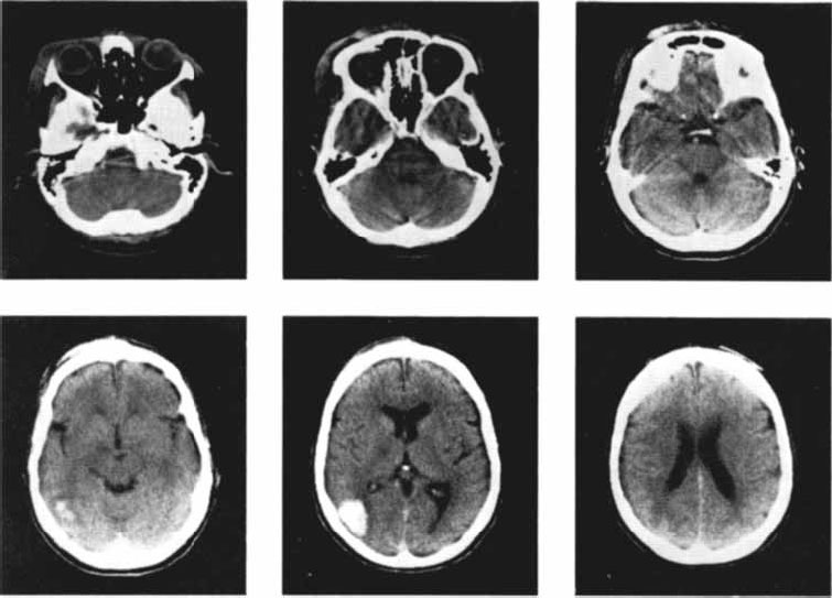
Для улучшения качества изображения перед исследованием пациенту вводят контрастное вещество. Особенно эффективна компьютерная томо графия для исследования повреждений мозга, например, вследствие инсульта (рис. 2.15), рассеянного склероза, опухолей. Кроме очевидной необходимости этого метода для хирургического исследования перед операциями он представляет значительный интерес для психофизиологов и нейрофизиологов, которые изучают когнитивные процессы и поведение людей, имеющих повреждения мозга.
Информативность томограмм увеличивается благодаря применению контрастных веществ, например, верографина (препарата, содержащего йод). Полученная информация в виде снимков может храниться на магнитных носителях, что позволяет пересылать их по каналам компьютерной связи на любые расстояния для консультации специалистов (Лалаянц, Милованова, 1991).

Рис. 2.15. Снимки мозга больных, перенесших инсульт на правой половине мозга, полученные с помощью метода компьютерной томографии (Carlson, 1992).
Более 800 000 книг и аудиокниг! 📚
Получи 2 месяца Литрес Подписки в подарок и наслаждайся неограниченным чтением
ПОЛУЧИТЬ ПОДАРОКДанный текст является ознакомительным фрагментом.