Визуализация строения мозга с помощью метода ядерно-магнитного резонанса
Метод ядерно-магнитного резонанса (ЯМР) позволяет визуализировать строение мозга, как и при компьютерной томографии, но он не связан с использованием радиоактивных лучей. Вокруг головы испытуемого создается очень сильное магнитное поле, которое воздействует на ядра атомов водорода, имеющих внутреннее вращение. В обычных условиях оси вращения каждого ядра имеют случайное направление. В магнитном поле они меняют ориентацию в соответствии с силовыми линиями этого поля. Выключение поля ведет к тому, что атомы утрачивают единое направление осей вращения и вследствие этого начинают излучать энергию. Эту энергию фиксирует датчик, а информация передается на компьютер.
Повторение циклов воздействия магнитного поля и его выключения дает достаточное количество данных для того, чтобы на компьютере было создано послойное изображение мозга. Для повышения разрешающей способности таких томографов иногда также используются контрастные вещества, содержащие таллий и гадолиний (Black e. a., 1989).
ЯМР-томограф высокого разрешения позволяет видеть клеточные структуры коры головного мозга при жизни человека (Press e. a., 1989). Наложение ПЭТ-томограмм на ЯМР-изображения дает возможность более тонко дифференцировать те или иные отделы коры и подкорковых структур (Лалянц, Милованова, 1991).
В последнее время появилась возможность повысить разрешающую способность ЯМР-томографов с помощью использования моноклональных антител против специфического антигена. В этом случае антиген «метят» веществом, детектируемым томографом. Это позволяет с большей точностью судить о распределении в специфических областях мозга рецепторов к нейромедиаторам (Pollit, 1989).

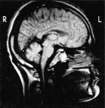
Рис. 2.17. Снимки мозга, полученные с помощью метода ядерно-магнитного резонанса (Carlson, 1992).
Поскольку водород содержится не в одинаковых концентрациях в разных тканях, что зависит как от структуры ткани, так и от ее метаболической активности, то при сканировании излучения этот факт используется для создания визуальной картины тканей. Получаемые с помощью указанного метода картины яснее и четче, чем изображения, представленные методом компьютерной томографии. Однако использование этого метода является более дорогим по сравнению с другими (рис. 2.17).
Более 800 000 книг и аудиокниг! 📚
Получи 2 месяца Литрес Подписки в подарок и наслаждайся неограниченным чтением
ПОЛУЧИТЬ ПОДАРОКДанный текст является ознакомительным фрагментом.