Глава вторая Самая таинственная наука на свете
Как именно появляются новые признаки?
Как они «закрепляются»?
Как они передаются по наследству?
Почему одни признаки передаются, а другие – нет?
Почему у одних и тех же родителей рождаются разные дети, порой – совершенно непохожие друг на друга?
Почему при скрещивании лошади с ослом можно получить потомство, а при скрещивании человека с его ближайшей родственницей шимпанзе – нельзя?
Ответы на эти вопросы, а также на многие другие, может дать генетика, самая таинственная наука на свете.
Почему самая таинственная? Да потому что вряд ли какая другая наука заключает в себе столько тайн, как генетика.
А еще это одна из самых молодых наук. Дат рождения у генетики две, с разницей в сорок лет. Можно считать, что генетика родилась в 1865 году, когда австрийский монах Грегор Мендель обнародовал результаты исследований о передаче признаков по наследству при скрещивании гороха. Работа Менделя «Опыты над растительными гибридами» стала первым научным трудом по генетике, а сформулированные Менделем закономерности наследования, впоследствии получившие название законов Менделя, – фундаментальными законам генетики. Но самого понятия «генетика» в то время еще не существовало. В течении 40 лет генетика жила непризнанной, можно сказать, что прозябала в безвестности. И только в 1906 году английский биолог Уильям Бэтсон дал генетике имя, образовав его от греческого слова «генезис», означающего «рождение» или «порождающий». Спустя три года появился главный термин генетики под названием «ген», а еще через несколько лет была сформулирована хромосомная теория наследственности, ставшая фундаментом генетики.

Грегор Иоганн Мендель (1822–1884)
То, что признаки наследуются от родителей, было известно с древнейших времен. Как только люди научились сравнивать, они заметили, что дети в той или иной степени похожи на своих родителей. Более того – не имея понятия о генах, законах наследственности и прочих премудростях генетики, люди ухитрялись выводить нужные им породы животных и растений сугубо практическим путем. Нужна, к примеру, длинноногая быстрая порода лошадей, значит, надо отбирать для скрещивания самых грациозных, самых длинноногих жеребят. А если нужно вывести сильную породу, способную перевозить тяжелые грузы, то ставка делается не на грациозность, а на рост, ширину груди, развитие мускулатуры. А ноги у тяжеловоза могут быть и короткими, тут не длина важна, а сила.

Уильям Бэтсон (1861–1926)
Практики-селекционеры действовали «вслепую» и были довольны, потому что им важны результаты, а не научное объяснение метода. Но ученым хотелось найти объяснение…
Для объяснения механизма наследственности Дарвин придумал геммулы, некие гипотетические частицы, обеспечивающие наследование признаков. Эти самые геммулы, по мнению Дарвина, образовывались во всех клетках организма, а затем поступали в кровь и с током крови доставлялись в половые железы. Каждая «новорожденная» половая клетка получала полный набор геммул, то есть получала наследственную информацию от всех клеток родительского организма.
Логично?
Вполне логично. Ведь примерно так все и происходит – в любом живом организме содержится информация о всех его клетках и эта информация передается по наследству. И то, как наследуются приобретенные признаки, эта гипотеза тоже объясняла. Новый признак – это определенные изменения клеток. Изменившиеся клетки вырабатывают новые геммулы, отличающиеся от тех, которые они вырабатывали прежде. Новые геммулы поступают в половые клетки и вызывают появление нового признака у потомства…
Гипотезу геммул опроверг двоюродный брат Чарльза Дарвина Фрэнсис Гальтон. Имя Гальтона в наше время мало кому известно, несмотря на то, что он внес значительный вклад в целый ряд научных дисциплин.

Фрэнсис Гальтон (1822–1911)
Гальтон основал дифференциальную психологию, науку о психологических различиях у представителей разных социальных групп, и психометрию – теорию и методику психологических измерений.
Гальтон создал первую в мире антропометрическую лабораторию.
Гальтон обосновал возможность использования отпечатков пальцев в криминалистике. Метод опознания по отпечаткам пальцев был открыт не Гальтоном, но именно он доказал, что у двух людей не может быть одинаковых отпечатков пальцев.
Все слышали слово «антициклон», обозначающее область повышенного атмосферного давления? Так вот, феномен антициклона открыл Гальтон.
Заинтересовавшись геммулами, Гальтон решил проверить верность этой гипотезы. Он поставил довольно простой опыт – переливал кровь от кроликов с темной окраской шерсти кроликам со светлой шерстью. По логике геммулы темной окраски, содержащиеся в переливаемой крови, непременно должны были попасть в половые железы светлошерстных кроликов и проявить себя в их потомстве. Однако ожидаемого потемнения шерсти у потомства светлошерстных кроликов Гальтон не получил. Шерсть оставалась светлой, а это означало, что никаких геммул не существует. Надо было искать другое объяснение.
После геммул появился панген – материальный носитель наследственности, находящийся в клетке. Затем приставку «пан-» отбросили и получился «ген». Ген, просто ген, структурная и функциональная единица наследственности…
В каждой клетке присутствуют дезоксирибонуклеиновая и рибонуклеиновая кислоты, сокращенно – ДНК и РНК. Молекулы ДНК и РНК состоят из повторяющихся блоков, которые называются нуклеотидами. Нуклеотиды – это сложные органические соединения, в которые помимо прочего (углеводного остатка и фосфатной группы) входят так называемые азотистые основания, производные пиримидина или пурина. Если вам ничего не говорят слова «пиримидин» или «пурин» и вы не в состоянии отличить фосфатную группу от углеводного остатка, то ничего страшного, ведь мы с вами сейчас говорим о генетике, а не об органической химии. Запомните просто, что ДНК и РНК состоят из нуклеотидов, в которые входят азотистые основания. Этого достаточно.
С генетической точки зрения разница между ДНК и РНК огромна.
Молекула ДНК является хранителем наследственной информации и организатором ее передачи по назначению. Условно говоря, ДНК это казначей и управляющий. А молекула РНК в таком случае – помощник казначея.
ДНК включает в себя четыре вида азотистых оснований – аденин (A), гуанин (G), тимин (T) и цитозин (C), то есть вся информация о любом организме закодирована при помощи всего четырех «букв». Лишь у некоторых организмов в составе ДНК может встречаться пятый тип азотистого основания – урацил (U). В человеческой ДНК урацила нет.
Комбинация из четырех элементов дает десять тысяч вариантов. Представили? А теперь давайте представим, что эти четырехэлементные комбинации еще и комбинируются друг с другом. При таком подходе количество вариантов уходит прямиком в бесконечность… Все организмы на нашей планете разные (за исключением клонов) и ДНК у всех тоже разные. Двух полностью схожих молекул ДНК в природе не существует (за исключением ДНК тех же клонов). На этой индивидуальности, к слову будь сказано, и основана генетическая криминалистика и судебно-медицинская генетика – любого человека можно со стопроцентной точностью идентифицировать по его ДНК. Точно так же, как и по отпечаткам пальцев, но с отпечатками еще возможны оплошности, а вот с ДНК никаких оплошностей быть не может, это личный уникальный и неповторимый код организма.
Молекула ДНК не просто огромная, она гигантская, число нуклеотидов в ней может доходить до нескольких сотен миллионов. Природа стремится к некоторой компактности, поэтому гигантская молекула ДНК состоит не из одной, а из двух нуклеотидных цепочек, которые для пущей компактности еще и закручены вокруг своей оси в спираль. Получается этакая двойная пружина.
В отличие от молекулы ДНК, молекула РНК короче (меньше) и состоит из одной цепочки. Вместо тимина (Т) в РНК присутствует урацил (U). Молекулы РНК синтезируются на матрицах – молекулах ДНК. Этот процесс называется транскрипцией. По матрице-молекуле ползет фермент РНК-полимераза и по считываемому коду синтезирует молекулу РНК. Молекулы РНК, в свою очередь, служат матрицами для синтеза молекул различных белков, а также выполняют в клетке транспортные и некоторые другие функции. У многих вирусов РНК играет роль ДНК, то есть является хранителем наследственной информации.
Геном называется участок молекулы ДНК, кодирующий синтез одной молекулы белка или одной молекулы РНК. Проще говоря, ген – это участок молекулы ДНК, ответственный за наличие одного отдельного признака. Например – ген голубых глаз или ген врожденной косолапости.
Классическая концепция генетики гласит: «один ген – один белок – один признак»[3].
С точки зрения генетики эволюцию можно представить как игру генов. Гены появляются и исчезают, гены состязаются между собой, гены составляют комбинации, которые могут оказаться выигрышными или проигрышными… Этакое природное мегасуперказино.
Сильно углубляться в генетику и биологическую химию мы не станем, но иметь общее представление о предмете нужно.
Ген обладает набором свойств, которые мы с вами сейчас рассмотрим.
Главным свойством гена является его дискретность, или, если можно так выразиться, «отдельность».
Каждый ген существует сам по себе. Гены не могут смешиваться или каким-то образом соединяться друг с другом и в результате этого образовывать новый ген. Гены могут подавлять своих конкурентов, но соединяться с ними не могут. Дискретность – очень важное свойство. Это главное свойство гена, которое делает каждый ген геном – структурной и функциональной единицей наследственности.
Давайте представим, что было бы, если бы гены не обладали бы дискретностью… А ничего не было бы! Систематическое размножение организмов при отсутствии дискретности у генов невозможно, а стало быть, невозможна и сама жизнь в глобальном смысле этого слова. Получит дочерняя клетка от материнской вместо четкого набора генов некую условную «генную кашу» и погибнет, не успев дать потомства.
Из дискретности логически вытекает другое свойство генов – их стабильность. Гены способны функционировать, не изменяя собственной структуры. Короче говоря, каким ген был, таким он и остается после считывания с него наследственной информации.
Но в то же время стабильность генов сочетается с их лабильностью – способностью изменяться.
Вы удивлены? Да, тут есть чему удивляться. Как один и тот же ген одновременно может быть и стабильным, и лабильным?! Это же взаимоисключающие понятия!
Взаимоисключающие, спору нет. Но, тем не менее, гену присущи и стабильность и лабильность. Сам по себе, как структурная единица, как фрагмент молекулы ДНК, ген стабилен. В процессе исполнения своих функций ген никак не изменяется. Изменяется он при копировании ДНК или же при повреждении ДНК. Гены способны изменяться в результате каких-то «глобальных» (с точки зрения генов) процессов, происходящих со всей молекулой ДНК. Но сам по себе ген стабилен.
Одни и те же гены, то есть гены, отвечающие за развитие одного признака, могут существовать в различных формах, которые называются аллелями (не путайте, пожалуйста, аллели с аллеями). Обычно аллельных генов два, один получен от матери, а другой – от отца.
Аллельные гены могут подавлять друг друга. Так, например, ген карих глаз подавляет ген голубых глаз. Если у отца глаза карие, а у матери – голубые, то у ребенка, скорее всего, будут карие глаза. Более сильный ген (а также и признак) называется доминантным, а слабый, подавляемый – рецессивным. Рецессивный признак может проявиться только в том случае, если в аллельной паре сойдутся два рецессивных гена (вспомните об этом, когда станете читать про кобылу лорда Мортона).
Запомните или запишите в свои молескины, что одни и те же гены могут существовать в различных формах – аллелях, и что аллельные, или парные, гены могут друг друга подавлять.
Гены обладают экспрессивностью. Это свойство можно назвать «силой гена». Экспрессивность определяет степень выраженности гена в кодируемом им признаке. Чем ген экспрессивнее, тем он более выражен, тем сильнее он подавляет своего аллельного собрата.
Мы получаем по комплекту генов от отца и матери. По каждому кодируемому признаку мы имеем парный набор генов. Те гены, которые являются более экспрессивными, подавляют в парах-аллелях менее экспрессивные гены. Конкуренция в рамках пары генов приводит к тому, что одни признаки наследуются от отца, а другие – от матери. Но никогда в наследовании не будет половинчатости! Невозможно унаследовать один признак наполовину от матери и наполовину от отца, потому что гены не смешиваются друг с другом. Даже в парах, отвечающих за один и тот же признак, не смешиваются. Подавлять друг друга гены могут, а смешиваться – нет.
Молекулы ДНК в наших клетках «упакованы» в хромосомы – структуры из молекулы ДНК и нескольких молекул белков. Каждая хромосома представляет собой одну молекулу ДНК. У каждого биологического вида в норме должно быть строго определенное число хромосом. У человека их сорок шесть.
Набор хромосом называется кариотипом. Также кариотипом называется совокупность признаков полного набора хромосом данного организма. Обратите внимание – совокупность признаков полного набора хромосом, а не совокупность признаков организма, определяемая этим набором хромосом. Совокупность внешних и внутренних признаков организма называется фенотипом. А совокупность всех генов организма называется генотипом.
Проще говоря – генотип выглядит как кариотип и определяет фенотип. Обратите внимание на то, что все названия «типов» в этой фразе расположены в алфавитном порядке – генотип, кариотип, фенотип. Это поможет вам правильно запомнить последовательность.
Свое звучное название хромосомы получили благодаря своей способности связывать ряд красителей, используемых для приготовления «микроскопических» препаратов, проще говоря – за способность к окрашиванию. «Хромосома» в переводе с греческого означает «окрашенное тело».
В периоде между делениями клетки хромосомы компактно собраны в клеточное ядро, которое во время деления распадается на отдельные хромосомы. Сдвоенные хромосомы (вспомните, что набор генов парный), тонкие нити которых скручены в относительно толстую спираль, видны в микроскоп. Они имеют вид буквы «Х» с перемычкой-центромерой посередине.
Интересная деталь – несмотря на то, что человек считается «венцом творения» природы, хромосом у нас с вами не очень-то и много. У собак их семьдесят восемь, у камчатского краба (и вообще у всех представителей надсемейства раков-отшельников) – 254, а у некоторых одноклеточных – более тысячи! Количество хромосом в клетке живого организма никак не связано с уровнем его организации. А с чем связано – науке пока еще неизвестно.
В обычной клетке (такие клетки называются соматическими) схожие по форме и генному составу хромосомы условно можно разбить на пары. Одна хромосома в паре получена от матери, другая – от отца. Парные (схожие) хромосомы называются гомологичными, а набор хромосом, содержащий пары гомологов, называется диплоидным.

Сдвоенная хромосома
Половые клетки (гаметы) содержат половину диплоидного набора – по одной хромосоме из каждой пары. Такой набор называется гаплоидным.
Парные хромосомы, одинаковые у мужских и женских организмов, называются аутосомами. Хромосомы, набор которых отличает мужские и женские особи, называются половыми хромосомами.

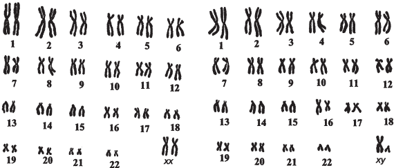
Хромосомный набор человека
Нормальный хромосомный набор (кариотип) человека представлен 46 хромосомами. Это 22 пары аутосом и одна пара половых хромосом – XY[4] в мужском кариотипе и XX – в женском. Посмотрите на рисунок, и вы увидите, что половые хромосомы получили обозначение по сходству с соответствующими буквами алфавита.
Половых хромосом может быть и больше одной пары. Так, например, утконос имеет пять пар половых хромосом. Мужской пол у утконоса задается комбинацией XYXYXYXYXY, а женский XXXXXXXXXX.
В мужском кариотипе содержатся две разные половые хромосомы (X и Y), а в женском – две одинаковые (XX). Соответственно, сперматозоиды могут иметь разные половые хромосомы – X или Y, а яйцеклетки – только Х-хромосому. Таким образом, за пол ребенка «отвечает» отец, от которого мать может получить разные половые хромосомы.
Совокупность наследственного материала, заключенного в гаплоидном наборе хромосом клеток данного вида организмов, называется геномом.
Совокупность генов данного организма называется генотипом.
Совокупность всех генных вариаций конкретной популяции называется генофондом.
Давайте скажем проще:
– у отдельного человека – генотип;
– у биологического вида Homo sapiens sapiens (Человек разумный разумный) – геном;
– у гуанчи (коренное население Канарских островов) или, к примеру, икашимцев (одна из народностей Южного Памира) – генофонд. Также иногда термин «генофонд» употребляется применительно к народам, этносам, расам.
Признаки, полученные в ходе приспособления к условиям окружающей среды, передаются по наследству. Важно правильно понимать механизм образования такого приспособления. Шея у жирафа вытянулась не из-за стремления к высоко расположенным листьям, а из-за того, что на протяжении многих поколений больше шансов на выживание и оставление потомства имели особи с более длинной шеей. Они могли питаться листьями, которые были недоступны их собратьям, следовательно, они питались лучше, были крупнее, сильнее, здоровее… Со временем «длинношеесть» закрепилась в геноме у жирафов.
Механизм наследования приобретенных признаков является краеугольным камнем эволюционного учения.
В XIX веке была популярна эволюционная концепция, выдвинутая французским биологом Жаном Батистом Ламарком и названная ламаркизмом. Ламаркизм был первой стройной и целостной теорией эволюции живого мира, но при том – неверной теорией. Признавая, что на форму и организацию живых организмов влияют обстоятельства (то есть – факторы окружающей среды), что было совершенно верно, Ламарк делал неверный вывод о том, что изменения внутренней организации, приобретенные организмом в течение жизни, могут передаваться по наследству. Ламарк считал, что если признак «упражняется», то есть – активно используется, то он непременно закрепится в потомстве. А если не «упражняется», то – исчезнет. Не исключено, что исчезновение произойдет уже в следующем поколении.
Вот, что писал Ламарк: «Породы изменяются в своих частях по мере того, как наступают значительные перемены во влияющих на них обстоятельствах. Весьма многие факты убеждают нас, что по мере того, как особям одного из наших видов приходится менять местоположение, климат, образ жизни или привычки, они подвергаются влияниям, изменяющим мало-помалу состояние и соотношение их частей, их форму, их способности, даже их организацию…»
Если исходить из концепции Ламарка, то можно ожидать, что дети, зачатые от культуристов, будут от рождения иметь более развитую мускулатуру, чем их сверстники, дети чемпионов-легкоатлетов будут бегать гораздо быстрее своих сверстников, а дети профессиональных пловцов получат врожденный навык плавания кролем или, скажем, брассом. Но ведь этого не происходит. И не может произойти, поскольку механизм наследования признаков совершенно иной. Отправной точкой в наследовании служит ген, а не признак. Генотип определяет фенотип, но фенотип никак не влияет на генотип. С точки зрения наследственности приспособление к условиям окружающей среды заключается в том, что выживают и дают потомство более приспособленные особи, а не в том, что полезные признаки (и вообще все признаки), приобретенные организмом в течение жизни, могут передаваться потомству.

Жан Батист Ламарк (1744–1829)
Ламарк стал первым биологом, попытавшимся создать теорию эволюции живого мира, и ему это почти удалось. «Почти», потому что Ламарк сделал одну ошибку – он утверждал, что видов в природе на самом деле не существует, есть только отдельные особи. «Только тот, кто долго и усиленно занимался определением видов и обращался к богатым коллекциям, – писал Ламарк, – может знать, до какой степени виды сливаются одни с другими. Я спрашиваю, какой опытный зоолог или ботаник не убежден в основательности только что сказанного мною? Поднимитесь до рыб, рептилий, птиц, даже до млекопитающих, и вы увидите повсюду постепенные переходы между соседними видами и даже родами». Говорить об эволюции, отрицая существование видов, это все равно что пытаться писать химические формулы, отрицая существование молекул. Ничего путного из этого не выйдет.
Эволюция в представлении Ламарка носила плавный постоянный характер. «Природа не делает скачков», – повторял Ламарк следом за известным немецким философом XVIII века Готфридом Лейбницем. Вот в этом Ламарк был прав – скачков у Природы действительно не бывает. Невозможно определить точную дату рождения нового вида.
Немецкий зоолог и эволюционист Фридрих Вейсман опроверг концепцию Ламарка при помощи простого, хоть и жестокого, эксперимента. Вейсман разводил мышей с отрубленными вскоре после рождения хвостами. Из поколения в поколение от бесхвостых мышей рождались хвостатые детеныши, хотя, согласно Ламарку, хвосты должны были исчезнуть (атрофироваться), так как не использовались мышами при жизни.

Фридрих Вейсман (1834–1914)
Мы-то с вами понимаем, что сколько ни отрубай мышам хвосты, на генетическом уровне от этого никаких изменений не произойдет, ибо и не может произойти.
Но как происходят изменения в генетическом материале?
Структурная перестройка в гене, приводящая к изменению наследственной информации, называется мутацией. Мутация представляет собой стойкое изменение, которое может передаваться потомкам.
Человек научился использовать мутации в глубокой древности, не имея никакого понятия о сути процесса, но успешно используя его результаты. Если у растения или животного вдруг случайно появлялся какой-нибудь полезный с точки зрения человека признак, то человек старался этот признак сохранить, скрещивая те особи, которые этим признаком обладали. Вся суть «догенетической» селекции заключалась в закреплении мутаций в потомстве.
Мутации не накапливаются до какого-то критического порога, чтобы затем проявиться. Мутации происходят внезапно, случайно, скачкообразно. Не было никаких изменений в гене – и вдруг оно произошло! Знакомьтесь, я ваша мутация!
Мутации могут происходить в любых клетках – и в соматических, и в половых. Коренное отличие мутации в соматической клетке многоклеточного организма от мутации в половой клетке заключается в том, что соматическая мутация может привести к гибели клетки или же может вызвать развитие доброкачественной или злокачественной опухоли, но потомству она не передастся. Точнее говоря, у организмов, размножающихся половым путем, мутации, возникшие в соматических клетках, по наследству не передаются, а вот при размножении почкованием, при вегетативном размножении и прочих видах бесполого размножения «соматические» мутации могут передаваться дочернему организму. Но мы с вами почкованием не размножаемся, поэтому можем передавать своему потомству только те мутации, которые происходят в половых клетках.
Мутации служат материалом для естественного отбора, эволюционного процесса, в результате действия которого в популяции увеличивается количество особей, обладающих максимальной приспособленностью к условиям внешней среды, а количество слабо приспособленных особей уменьшается. Без мутаций не было бы никакого естественного отбора, да и самой эволюции тоже не было бы.
А что было бы? Клетка-праматерь, от которой произошло все живое на нашей планете, заселила бы все подходящие для нее пространства, и на этом бы все развитие жизни закончилось.
Разумеется, мутации могут быть вредными, они могут вызывать болезни и даже гибель организма, но польза от них тоже есть, и немалая, надо сказать, польза.
По результатам мутации делят на полезные, нейтральные и вредные, которые в свою очередь подразделяются на стерильные, полулетальные и летальные.
Нейтральными называются мутации, которые никак не влияют на жизнеспособность организма.
Полулетальными называются вредные мутации, значительно снижающие жизнеспособность организма, но, в отличие от летальных, не приводящие к его гибели.
Стерильные мутации не влияют на жизнеспособность организма, но снижают его способность к размножению.
Польза и вред некоторых мутаций относительны, то есть зависят от условий внешней среды. В разных условиях одна и та же мутация может оказаться полезной или вредной. Например, мутация, вызывающая альбинизм – полное или частичное отсутствие пигмента меланина в коже, волосах и радужной оболочке глаз, – окажется полезной для животного, обитающего там, где круглый год или бо?льшую часть года лежит снежный покров. В таких условиях альбинизм является маскирующим признаком, увеличивающим шансы особи на выживание. А вот в степи заяц-альбинос будет хорошо заметен, здесь этот признак окажется вредным, демаскирующим.
Как происходят мутации?
По-разному. Фрагмент хромосомы может выпасть или, наоборот, самопроизвольно удвоиться, фрагмент хромосомы может повернуться на 180°. …Существует такое явление, как кроссинговер – при определенных условиях гомологичные хромосомы могут обмениваться друг с другом своими фрагментами. Если же подобный обмен вдруг произойдет между двумя негомологичными хромосомами, то возникнет мутация.
Молекулы ДНК обладают способностью к репликации, то есть – к самовоспроизведению. Без репликации никак нельзя не обойтись, ведь клетки размножаются делением и каждая дочерняя клетка непременно должна получить от материнской полную копию наследственной информации. Если во время репликации происходит ошибка (а такое случается довольно часто), то возникает новая мутация.
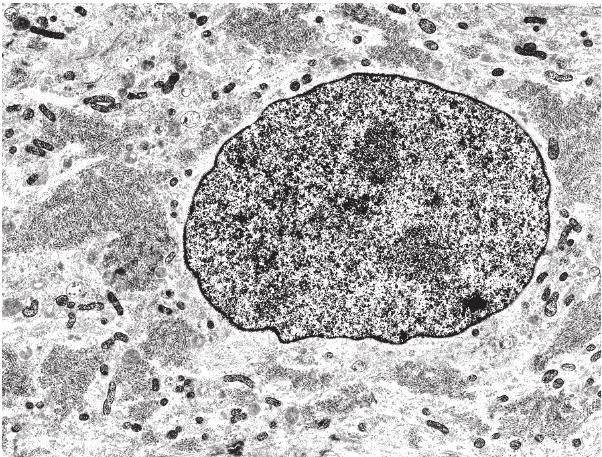
В наших клетках существуют структуры, обладающие собственной ДНК – «персональной» генетической информацией. Это митохондрии, своеобразные клеточные энергетические станции. В среднем в клетке содержится около 2000 митохондрий, общий объем которых составляет до четверти от объема клетки. Митохондрии имеют сферическую или эллипсоидную форму.

Митохондрии
В митохондриях подвергаются окислению органические вещества, поступающие в клетку извне. При этом образуются молекулы аденозинтрифосфата (АТФ), способные накапливать энергию в виде химических связей, такие своеобразные клеточные аккумуляторы. Митохондрии способны самостоятельно синтезировать ряд белков и размножаться путем деления, собственно для этого им и нужна персональная ДНК.
Мутации, возникающие в ДНК митохондрий, могут передаваться только по материнской линии, поскольку передаются они с цитоплазмой, полужидкой внутренней средой клетки, которую содержит яйцеклетка. В сперматозоиде цитоплазмы очень мало, да вдобавок митохондрии у него находятся в шейке, которая в яйцеклетку при оплодотворении не проникает.
Мутации случайны! Они происходят не направленно, а хаотически, так что можно считать эволюцию упорядоченным хаосом – случайные мутации проходят отбор под воздействием внешней среды, нужные мутации сохраняются, а ненужные «отбраковываются». Но внешняя среда может только сортировать мутации! Повысить вероятность возникновения полезных мутаций невозможно.
На этом можно закончить главу, посвященную знакомству с генетикой. В следующей главе мы продолжим разговор о генетике, но уже на более высоком уровне.
В заключение осталось дать ответ на вопрос о том, почему при скрещивании лошади с ослом можно получить потомство, а при скрещивании человека с его ближайшей родственницей шимпанзе – нельзя.
Шимпанзе, если кто не знает, это наши ближайшие родственники среди всех живущих ныне существ. Всего каких-то 7 000 000 лет назад от наших общих предков произошли две ветви – человек и шимпанзе. У нас 46 хромосом, а у шимпанзе – 48, но теоретически это не является препятствием для получения потомства при скрещивании. Лошади, имеющие 64 хромосомы, дают потомство при скрещивании с ослами, у которых хромосом на две меньше, а вот все попытки скрестить человека с шимпанзе оказались бесплодными. А попыток в свое время было много… Одни деятели хотели таким образом подтвердить родство между человеком и шимпанзе, а другие мечтали вывести расу неутомимых работников или послушных солдат, соединив человеческий разум с физической силой шимпанзе. Ничего из этой затеи не вышло, хотя теоретически должно было выйти, ведь геном шимпанзе отличается от человеческого на 6,4 %, иначе говоря, совпадение геномов составляет 93,6 %! Некоторые ученые даже предлагали причислить шимпанзе к роду Homo (Люди). Однако в биологии существует такое понятие, как репродуктивная несовместимость. При всей схожести геномов человека и шимпанзе гибридизация невозможна потому, что за 7 000 000 лет успело накопиться слишком много различий.
ПОСТСКРИПТУМ
Любой признак, который сохраняется в результате естественного отбора, может иметь несколько вариантов приспособительного значения, а также может быть побочным эффектом эволюционного развития других признаков или же просто случайно возникшим.
Приспособление не следует трактовать однобоко, как фактор, повышающий шансы на выживание и размножение данной особи в данной внешней среде. Приспособление может быть не только индивидуальным, но и групповым, то есть может повышать выживаемость всей популяции во внешней среде. Приспособление может повышать шансы особи не только во внешней, но и во внутрипопуляционной среде, в частности – повышать привлекательность особи для половых партнеров. Приспосабливаться можно по-разному.
Более 800 000 книг и аудиокниг! 📚
Получи 2 месяца Литрес Подписки в подарок и наслаждайся неограниченным чтением
ПОЛУЧИТЬ ПОДАРОКДанный текст является ознакомительным фрагментом.