2. Импульсы, синапсы и нейронные сети

Значительную часть нейробиологии составляют разделы о том, как работают отдельные нейроны и как информация передается от клетки к клетке через синапсы. Должно быть очевидным, что без этих сведений мы окажемся в положении человека, желающего понять работу радиоприемника или телевизора, но ничего не знающего о резисторах, конденсаторах и транзисторах. За последние десятилетия благодаря изобретательности ряда нейрофизиологов, из которых наиболее известны Эндрю Хаксли, Алан Ходжкин, Бернард Катц, Джон Экклз и Стивен Куффлер, были хорошо изучены физико-химические механизмы проведения нервных импульсов и синаптической передачи. Однако столь же очевидно, что сведения такого рода сами по себе еще не могут привести к пониманию работы мозга, подобно тому как одни лишь сведения о резисторах, конденсаторах и транзисторах не позволят понять работу радиоприемника или телевизора, а знание химии чернил — прочитать пьесу Шекспира.

Эту главу я начинаю с суммирования части того, что нам известно о нервном проведении и синаптической передаче. Большой подмогой в верном понимании существа дела будет знание основ физической химии и электричества, но я думаю, что и без этого читатель сможет получить о предмете достаточное представление. В любом случае для того, чтобы следить за изложением в последующих главах, вам понадобится лишь элементарное понимание этих вопросов.

Задача нервной клетки состоит в том, чтобы принимать информацию от клеток, которые ее передают, суммировать, или интегрировать, эту информацию и доставлять интегрированную информацию другим клеткам. Информация обычно передается в форме кратковременных процессов, называемых нервными импульсами. Во всякой клетке каждый импульс бывает точно таким же, как и любой другой, т.е. импульс — это стереотипный процесс. В любой момент частота импульсов, посылаемых нейроном, определяется сигналами, только что полученными им от передающих клеток, и передает информацию клеткам, по отношению к которым этот нейрон является передающим. Частота импульсов варьирует от одного в каждые несколько секунд или еще ниже до максимума около тысячи в секунду.

Мембранный потенциал

Что происходит, когда информация передается от одной клетки к другой через синапс? В первой — пресинаптической — клетке около основания аксона возникает электрический сигнал, или импульс. Импульс перемещается по аксону к его окончаниям. Из каждого окончания в результате этого импульса в узкий (0,02 мкм) заполненный жидкостью промежуток, отделяющий одну клетку от другой, — синаптическую щель — высвобождается химическое вещество, которое диффундирует ко второй — постсинаптической — клетке. Оно влияет на мембрану этой второй клетки таким образом, что вероятность возникновения в ней импульсов либо уменьшается, либо возрастает. После этого краткого описания вернемся назад и рассмотрим весь процесс подробно.

Рис. 8. Схема расположения нервных клеток на поперечном срезе сетчатки, нарисованная Сантьяго Рамон-и-Кахалом, величайшим нейроанатомом всех времен. От верхнего слоя, где показаны более тонкие палочки и более толстые колбочки, до нижнего, где направо выходят волокна зрительного нерва, толщина сетчатки составляет четверть миллиметра.

Нервная клетка омывается солевым раствором и содержит его внутри. В число солей входит не только хлористый натрий, но также хлористый калий, хлористый кальций и ряд других, менее обычных солей. Поскольку большинство молекул соли диссоциировано, жидкости как внутри, так и снаружи клетки содержат ионы хлора, калия, натрия и кальция (Cl, K+, Na+ и Ca2+).

В состоянии покоя электрические потенциалы внутри и снаружи клетки различаются примерно на одну десятую долю вольта, причем плюс находится снаружи. Точное значение ближе к величине 0,07 вольта, или 70 милливольт. Передаваемые нервами сигналы представляют собой быстрые изменения потенциала, перемещающиеся по волокну от тела клетки к окончаниям аксона. Я начну с описания того, как на клеточной мембране возникает разность потенциалов.

Мембрана нервной клетки, покрывающая весь нейрон, — структура чрезвычайно сложная. Она не сплошная, как надувной шарик или шланг, а содержит миллионы «пор», через которые вещества могут переходить с одной стороны на другую. Некоторые из них — это действительно поры различной величины; как сейчас выяснилось, они представляют собой белки в форме трубок, насквозь пронизывающих жировое вещество мембраны. В других случаях это не просто поры, а миниатюрные белковые механизмы, называемые насосами; они способны улавливать ионы одного типа и выбрасывать их из клетки, одновременно захватывая другие ионы внутрь из наружного пространства. Такая перекачка требует затраты энергии, которую клетка в конечном счете получает в процессе окисления глюкозы. Существуют также поры, называемые каналами, — это «клапаны», которые могут открываться и закрываться. Какие воздействия приводят к их открытию или закрытию, зависит от типа пор. На некоторые из них влияет мембранный потенциал, другие открываются или закрываются при наличии определенных веществ во внутренней и наружной жидкости.

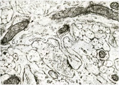
Рис. 9. На этой электронной микрофотографии (срез коры мозжечка крысы) синапс выглядит как узкая темная полоска в нижней части рисунка посередине. Слева от синапса можно видеть поперечное сечение аксона, заполненного мельчайшими круглыми синаптическими пузырьками, в которых хранится нейромедиатор. Справа от синапса виден выступ дендрита (называемый шипиком); он отходит от крупной дендритной ветви, расположенной горизонтально в верхней части рисунка (два темных колбасовидных образования в этом дендрите — митохондрии). В синапсе сближены две мембраны — мембраны аксона и дендрита; здесь они утолщены и выглядят более плотными. Их разделяет щель шириной 20 нанометров.

Разность потенциалов на мембране в любой момент определяется концентрацией ионов внутри и снаружи, а также тем, открыты или закрыты различные поры. (Выше я говорил, что потенциал влияет на поры, а теперь утверждаю, что поры влияют на потенциал. Давайте пока просто скажем, что эти две вещи могут быть взаимозависимы. Несколько позже будет дано более детальное объяснение.) Так как имеется несколько видов пор и несколько видов ионов, легко понять, что вся система довольно сложна. Когда Ходжкин и Хаксли в 1952 году сумели разобраться в ней, это было огромным достижением.

Зададимся прежде всего вопросом: как создается разность потенциалов? Предположим, что вначале никакой разности нет и концентрации ионов внутри и снаружи одинаковы. Пусть далее включается насос, который выводит из клетки ионы одного вида, например натрия, и вместо каждого выведенного иона переносит внутрь ион другого вида, например калия. Сам по себе насос не создает какого-либо потенциала, так как сколько положительно заряженных ионов накачивается внутрь, столько же и откачивается (ионы натрия и калия несут одинаковые положительные заряды). Но представим теперь, что по какой-то причине открылось большое число пор одного типа, например калиевых. Ионы калия начнут перетекать по ним, причем скорость потока через каждую открытую пору будет зависеть от концентрации калия: чем больше ионов возле отверстия поры, тем больше будет их утечка через мембрану; а так как внутри ионов калия больше, чем снаружи, то выходить их будет больше, чем входить внутрь. Но если выходит больше зарядов, чем входит, наружное пространство быстро станет электроположительным по отношению к внутреннему. Это накопление положительного заряда снаружи вскоре начнет противодействовать дальнейшему выходу ионов калия из клетки, так как одноименные заряды отталкивают друг друга. Очень быстро — прежде чем выход ионов K+ приведет к заметному изменению их концентрации — положительный заряд снаружи достигнет величины, при которой он в точности скомпенсирует тенденцию ионов K+ выходить из клетки (с внутренней стороны поры ионов калия больше, но они отталкиваются наружным зарядом). Начиная с этого момента перемещение заряда прекращается, и мы говорим, что система приходит в равновесие. Таким образом, открытие калиевых пор приводит к возникновению на мембране разности потенциалов с положительным полюсом снаружи.

Но предположим, что вместо этого открылись натриевые поры. Повторяя все рассуждения с заменой слов «внутренний» на «наружный», вы можете легко убедиться, что результат будет прямо противоположным: снаружи возникнет отрицательный заряд. При одновременном открытии пор того и другого типа результат был бы «компромиссным». Для оценки величины мембранного потенциала мы должны знать относительные концентрации двух ионов и отношение числа открытых и закрытых пор для каждого иона, а затем произвести соответствующие расчеты.

Импульс

Когда нерв находится в покое, большинство калиевых каналов открыто, а большинство натриевых закрыто; поэтому снаружи будет положительный заряд. Во время импульса на коротком отрезке нервного волокна внезапно открывается большое число натриевых каналов, что приводит к кратковременному преобладанию потока ионов натрия, и этот участок быстро становится электроотрицательным снаружи по отношению к внутреннему пространству. Затем натриевые поры вновь закрываются, в то время как калиевые остаются открытыми, причем даже в большем количестве, чем в состоянии покоя. Оба процесса — закрытие натриевых пор и дополнительное открытие калиевых пор — приводят к быстрому восстановлению потенциала покоя с положительным полюсом снаружи. Вся последовательность событий занимает примерно тысячную долю секунды.

Рис. 10. Вверху: участок аксона в состоянии покоя. Натриевый насос перекачал наружу излишние ионы натрия, а внутрь — недостающие ионы калия. Натриевые каналы в основном закрыты. Поскольку открыто много калиевых каналов, клетку покинуло достаточное количество ионов калия, чтобы мембранный потенциал достиг равновесного в таких условиях уровня — около 70 милливольт с плюсом снаружи.

Внизу: слева направо перемещается нервный импульс. На крайнем правом конце аксон еще пребывает в состоянии покоя. В среднем участке развертываются события, связанные с импульсом: натриевые каналы открыты, ионы натрия переходят внутрь (хотя и не в таком количестве, чтобы их концентрация после одного импульса заметно изменилась); мембранный потенциал 40 милливольт с плюсом внутри. На крайнем левом конце мембрана возвращается в исходное состояние, так как открылись (а затем закрылись) добавочные калиевые каналы, а натриевые каналы автоматически закрылись. Поскольку натриевые каналы не способны сразу же повторно открыться, второй импульс не может возникнуть раньше чем спустя примерно миллисекунду. Это позволяет понять, почему импульс не может повернуть назад к телу клетки.

Все происходящее зависит от обстоятельств, влияющих на открытие и закрытие пор. Как натриевые, так и калиевые каналы чувствительны к мембранному потенциалу. Уменьшение наружного положительного заряда — деполяризация мембраны относительно состояния покоя — приводит к открытию пор. Это влияние неодинаково для пор двух типов: натриевые поры, открывшись, снова закрываются сами по себе, даже если мембрана остается деполяризованной, и неспособны вновь открыться на протяжении нескольких тысячных долей секунды; калиевые поры остаются открытыми, пока поддерживается деполяризация. При определенном уровне деполяризации число ионов натрия, входящих внутрь, вначале превышает число выходящих ионов калия и наружная поверхность мембраны становится электроотрицательной по отношению к внутренней; позднее начинает преобладать поток калия и восстанавливается потенциал покоя.

В этой последовательности событий, составляющих импульс (открываются поры, ионы проходят через мембрану и мембранный потенциал дважды претерпевает изменения), число ионов, фактически проходящих через мембрану — Na+ внутрь, а K+ наружу, — ничтожно, и его недостаточно для измеримого изменения ионных концентраций внутри или снаружи клетки. За несколько минут, однако, нейрон способен разрядиться тысячу раз, и в результате концентрации ионов могли бы заметно измениться, если бы не насос, который все время выводит натрий и накачивает внутрь калий, поддерживая таким образом их концентрации на надлежащих уровнях покоя. Почему во время импульса столь малый перенос заряда ведет к таким большим колебаниям потенциала? Это следствие одного из простых законов электричества: емкость мембраны мала, а потенциал равен перенесенному заряду, деленному на емкость.

Деполяризация мембраны — уменьшение электроотрицательности внутри относительно состояния покоя — вот что обеспечивает первоначальный запуск импульса. Если быстро ввести в покоящееся волокно некоторое количество ионов натрия, вызвав небольшую начальную деполяризацию, то в результате откроется небольшое число натриевых пор; но, поскольку много калиевых пор уже открыто, изнутри может выйти достаточно калия, чтобы скомпенсировать этот эффект и быстро вернуть мембрану в исходное состояние покоя. Предположим, однако, что начальный перенос заряда столь велик и открылось так много натриевых пор, что натрий приносит внутрь больше заряда, чем может быть выведено с калием; тогда мембрана деполяризуется еще сильнее. Это приведет к открытию еще большего числа натриевых пор, к еще большей деполяризации и так далее — возникнет самоусиливающийся взрывоподобный процесс. Когда откроются все натриевые поры, которые могут открыться, мембранный потенциал изменит свой знак на обратный по отношению к потенциалу покоя: вместо 70 милливольт с положительным полюсом снаружи он составит 40 милливольт с отрицательным полюсом снаружи.

Уменьшение потенциала на мембране с последующим изменением его знака (реверсией) не происходит сразу по всей длине волокна, так как перенос заряда требует времени. Активный участок возникает в одном месте и перемещается по волокну со скоростью от 0,1 до примерно 10 метров в секунду. В любой момент времени существует один активный участок с реверсированным потенциалом, и эта область реверсии передвигается, удаляясь от тела нейрона; впереди нее находится участок с еще не открытыми каналами, а позади — участок, где каналы снова закрылись и временно неспособны к повторному открытию.

Это и есть процесс распространения импульса. Вы видите, что он вовсе не похож на прохождение тока по медной проволоке. По всей длине нерва не перемещаются электрические заряды, ионы или вообще нечто материальное, точно так же как при смыкании лезвий ножниц ничто не перемещается от соединительного винта до их кончиков. (Ионы образуют лишь местные токи, переходя внутрь и наружу, подобно тому как лезвия ножниц движутся вверх и вниз.) Перемещается некоторое событие или процесс — перекрещивание лезвий ножниц или импульс в нерве.

Поскольку подготовка натриевых каналов к следующему открытию и закрытию требует некоторого времени, наибольшая частота, с которой клетка или аксон способны генерировать импульсы, составляет около 800 в секунду. Однако столь высокая частота необычна; даже для сильно активированных нервных волокон характерны частоты 100–200 импульсов в секунду.

Рис. 11. Мембрана глиальной клетки многократно обернута вокруг аксона, как это видно на электронной микрофотографии поперечного среза нервного волокна. Такая мембрана состоит из миелина, который ускоряет проведение нервных импульсов, повышая сопротивление и уменьшая емкость между внутренностью аксона и окружающим пространством. В аксоне видны (в поперечном сечении) органеллы, называемые микротрубочками.

Важной особенностью нервного импульса является то, что он возникает по принципу всё или ничего. При достаточной начальной деполяризации — если она превышает некоторую пороговую величину — процесс становится самоусиливающимся и реверсия происходит всегда до 0,02 вольт (минус снаружи). Величина потенциала, распространяющегося по нерву (т.е. импульса), определяется самим нервом, а не степенью начальной деполяризации, которая привела к его возникновению. Здесь уместна аналогия с любым взрывообразным процессом. Скорость полета пули никак не связана с тем, насколько резко вы нажали на спусковой крючок.

Для многих функций мозга скорость проведения импульса представляется весьма важной, и нервная система выработала особый механизм ее повышения. Плазматическая мембрана глиальных клеток многократно обертывается вокруг аксона, образуя слоистую оболочку, значительно повышающую эффективную толщину нервной мембраны. Это утолщение снижает емкость мембраны, а тем самым и величину заряда, необходимую для ее деполяризации. Слоистое вещество, богатое жировым материалом, называется миелином. Через каждые несколько миллиметров оболочка прерывается в так называемых перехватах Ранвье, что позволяет токам, связанным с импульсом, входить в аксон или выходить из него. В результате нервный импульс фактически перескакивает от одного перехвата к следующему, а не передвигается непрерывно вдоль аксона, что намного ускоряет передачу нервных сигналов. Большинство крупных волокнистых пучков в мозгу миелинизировано, что придает им блестящий белый цвет на свежеприготовленных срезах. Белое вещество головного и спинного мозга состоит из миелинизированных аксонов, и в нем отсутствуют тела нервных клеток, дендриты и синапсы. Серое вещество состоит в основном из клеточных тел, дендритов, аксонных окончаний и синапсов, но может содержать и миелинизированные аксоны.

Основные пробелы в нашем понимании природы импульса, равно как и основные направления современных исследований в этой области, связаны со структурой и функцией белковых каналов.

Синаптическая передача

Как первоначально возникают импульсы, и что происходит на дальнем конце аксона, когда импульс прибывает туда?

Участок клеточной мембраны у окончания аксона, образующий первую половинку синапса (пресинаптическую мембрану), обладает удивительной специализированной структурой. Прежде всего, он содержит особые каналы, которые при деполяризации открываются и пропускают положительно заряженные ионы кальция. Поскольку концентрация кальция (как и натрия) снаружи выше, чем внутри клетки, открытие этих каналов позволяет кальцию переходить внутрь. Каким-то пока не известным образом это поступление кальция внутрь клетки приводит к выбрасыванию через мембрану наружу небольших порций особых веществ, называемых нейромедиаторами. Уже идентифицировано около двадцати химических медиаторов, и, судя по темпу новых открытий, их общее число может превышать полсотни. Молекулы медиаторов намного меньше белковых молекул, но обычно крупнее ионов натрия или кальция. Примерами нейромедиаторов могут служить ацетилхолин и норадреналин. Когда эти вещества высвобождаются из пресинаптической мембраны, они быстро диффундируют через синаптическую щель шириной 0,02 мкм к постсинаптической мембране.

Постсинаптическая мембрана тоже специализирована: в ней имеются белковые рецепторы, которые реагируют на нейромедиатор открытием соответствующих каналов, позволяя ионам одного или нескольких типов проходить через них. От того, какие именно ионы (натрий, калий, хлор) смогут проходить, зависит, будет ли сама постсинаптическая клетка деполяризована или же ее мембранный потенциал будет стабилизирован, т.е. ее деполяризация затруднена.

Подытожим сказанное. Нервный импульс приходит к окончанию аксона и вызывает здесь высвобождение специальных нейромедиаторных молекул. Эти нейромедиаторы воздействуют на постсинаптическую мембрану так, что либо понижают ее мембранный потенциал, либо предотвращают его понижение. При понижении мембранного потенциала частота импульсации возрастает; мы назовем такой синапс возбуждающим. Если же мембранный потенциал вместо этого стабилизируется на подпороговом уровне, импульсы не возникают или возникают с меньшей частотой, и тогда синапс называют то?рмозным.

Будет ли данный синапс возбуждающим или тормозным, зависит от того, какой в нем высвобождается медиатор и каковы здесь рецепторные молекулы. Ацетилхолин, самый известный медиатор, в некоторых синапсах оказывает возбуждающее действие, а в других — тормозное, он возбуждает мышцы конечностей и туловища, но тормозит сокращения сердца. Норадреналин обычно служит возбуждающим медиатором, гамма-аминомасляная кислота (ГАМК) — тормозящим. Насколько нам известно, характер действия каждого данного синапса остается постоянным на протяжении всей жизни животного.

С дендритами и телом нейрона могут контактировать десятки, сотни или тысячи аксонных окончаний; поэтому в любой момент одни входные синапсы стремятся деполяризовать клетку, а другие противодействуют этому. Импульс, приходящий к возбуждающему синапсу, будет деполяризовать постсинаптическую клетку; если одновременно придет также импульс к тормозному синапсу, эффекты обоих импульсов будут стремиться погасить друг друга. В любой момент уровень мембранного потенциала является результатом сложения вместе возбуждающих и тормозных влияний. Одиночный импульс, приходящий к одному синапсу, обычно лишь очень слабо воздействует на постсинаптическую клетку, и его эффект через несколько миллисекунд исчезает. При поступлении импульсов от нескольких других нейронов клетка суммирует, или интегрирует, их влияния. При достаточном понижении мембранного потенциала — если возбуждающие сигналы приходят к достаточному числу синапсов и с достаточно высокой частотой — суммарная деполяризация сможет привести к возникновению импульсов, обычно в виде целой их серии. Импульсы обычно возникают в том месте, где от тела клетки отходит аксон: деполяризация данной величины здесь с наибольшей вероятностью может вызвать импульс — по-видимому, благодаря особенно высокой плотности расположения натриевых каналов в мембране. Чем сильнее в этом месте деполяризована мембрана, тем больше импульсов возникает каждую секунду.

Почти все клетки нервной системы имеют входные синапсы от нескольких других клеток. Это называют конвергенцией. В то же время аксоны почти всех клеток многократно ветвятся и обслуживают большое число других нейронов — возможно, сотни или тысячи. Мы называем это дивергенцией. Легко видеть, что без конвергенции и дивергенции нервная система немногого бы стоила: возбуждающий синапс просто передавал бы каждый импульс следующей клетке, не выполняя никакой полезной функции, а тормозному синапсу, который был бы единственным входом данной клетки, нечего было бы тормозить, если только постсинаптическая клетка не обладала бы каким-то специальным механизмом, заставляющим ее разряжаться спонтанно.

Мне хотелось бы сделать заключительное замечание о сигналах, передаваемых нервными волокнами. Хотя аксоны почти всегда проводят импульсы по принципу «всё или ничего», имеются некоторые исключения. Если локальная деполяризация оказывается подпороговой, т.е. недостаточной для запуска взрывоподобного импульса типа «все или ничего», она тем не менее имеет некоторую тенденцию распространяться вдоль волокна, уменьшаясь со временем и с расстоянием от начального пункта. (При обычном проведении нервного импульса именно такое локальное распространение и доводит потенциал соседнего, покоящегося участка нервной мембраны до пороговой деполяризации, при которой начинается самоусиливающийся процесс.) Некоторые аксоны столь коротки, что не возникает нужды в распространяющихся импульсах: деполяризация клеточного тела или дендритов путем пассивного распространения способна создавать в окончании аксона деполяризацию, достаточную для высвобождения медиатора. У млекопитающих известные случаи передачи информации без импульсов немногочисленны, но важны. В наших сетчатках нервные клетки двух или трех из пяти типов функционируют без импульсов.

Важное отличие этих пассивно передаваемых сигналов от импульсов (помимо их малой и прогрессивно убывающей амплитуды) состоит в том, что их величина меняется в зависимости от силы стимула. Поэтому их часто называют градуальными сигналами. Чем больше сигнал, тем сильнее деполяризация окончания и тем больше высвобождается медиатора. Следует напомнить, что импульсы, напротив, не увеличиваются по амплитуде с ростом стимула — вместо этого возрастает частота их повторения. И чем чаще возникают импульсы, тем больше медиатора выделяется в окончаниях. Таким образом, конечный результат не слишком различен. Нередко говорят, что градуальные потенциалы представляют собой пример аналоговых сигналов, а импульсы, будучи событиями типа «все или ничего», носят характер цифровой сигнализации. Я нахожу эту аналогию неверной, поскольку точное положение каждого импульса в серии в большинстве случаев не имеет никакого значения. Что важно, так это среднее число их в данном временном интервале, а не тонкие детали. Таким образом, оба вида сигналов существенно аналоговые.

Типичный нейронный путь

Теперь, когда мы кое-что знаем об импульсах, синапсах, возбуждении и торможении, можно задаться вопросом, как из нейронов строятся более крупные образования. Мы можем представить центральную нервную систему — головной и спинной мозг — как некоторый ящик со входом и выходом. Входные сигналы оказывают воздействие на особые нервные клетки, называемые рецепторами; эти клетки реагируют не на синаптические входы от других клеток, а на то, что мы можем обозначить нестрогим термином «внешняя информация». Эта информация может принимать форму света, проникающего в наши глаза; механической деформации нашей кожи, барабанной перепонки или полукружных каналов; химических веществ, как в наших органах обоняния или вкуса. Во всех этих случаях под влиянием стимула в рецепторах возникает электрический сигнал и в результате изменяется скорость высвобождения медиатора в окончаниях их аксонов.

(Вас не должно смущать двойное значение термина рецептор; вначале он означал клетку со специализированной реакцией на сенсорные стимулы, но впоследствии был применен также к белковым молекулам со специализированной реакцией на нейромедиаторы.)

На другом конце нервной системы мы имеем выход — двигательные нейроны, отличающиеся от всех остальных тем, что их аксоны оканчиваются не на других нейронах, а на мышечных клетках. Все выходные сигналы нашей нервной системы вызывают мышечные сокращения, за редким исключением сигналов, адресуемых клеткам желез. Это, по существу, единственный способ, которым мы можем оказывать влияние на окружающую нас среду. Отключите у какого-либо животного мышцы, и вы полностью отрежете его от остального мира; отключите вместо этого входные сигналы — и прекратятся все внешние влияния, что опять-таки превратит животное фактически в растение. Согласно одному из возможных определений, животное — это организм, реагирующий на внешние события и своими действиями оказывающий влияние на внешний мир.

Рис. 12. Нервно-мышечное соединение у лягушки. Более тонкое нервное волокно извивается рядом с двумя мышечными волокнами, образуя синапс в нижней левой части снимка.

Центральная нервная система, лежащая между входными и выходными нейронами, является тем аппаратом, который позволяет нам воспринимать, реагировать и помнить; он же в конечном счете должен быть ответствен за наше сознание, совесть и душу. Одна из главных целей нейробиологии состоит в выяснении того, что происходит на этом пути — как информация, приходящая к некоторой группе нейронов, преобразуется и затем передается дальше, а также какой смысл имеют эти преобразования для успешной адаптации животного к среде.

Хотя схемы связей для многих отделов центральной нервной системы значительно варьируют в деталях, в большинстве случаев в основе их лежит сравнительно простой общий план, показанный на рис. 13. Приведенная здесь схема — это скорее карикатура, которую не следует понимать буквально и которая требует уточнений, обсуждаемых ниже. Слева на рисунке показаны рецепторы — ряд преобразующих информацию нейронов, каждый из которых обслуживает один из видов ощущений, например осязание, вибрационное чувство или зрительное восприятие. Мы можем считать эти рецепторы первым уровнем какого-то сенсорного пути. Волокна от рецепторов образуют синаптические контакты со вторым рядом нервных клеток — вторым уровнем нашей схемы; эти клетки в свою очередь образуют контакты с третьим уровнем и так далее. «Уровень» не является техническим или широко применяемым нейроанатомическим термином, но мы еще увидим его полезность.

Иногда три или четыре таких уровня объединяются вместе в более крупный элемент, который я за недостатком лучшего или общепринятого термина назову структурой. Структуры — это скопления клеток, обычно в виде пластин или сферических ядер, упоминавшихся в главе 1. В случае пластинчатой структуры каждый из образующих ее уровней может быть дискретным слоем клеток. Хорошим примером служит сетчатка, в которой три таких слоя и, грубо говоря, три уровня. Если несколько уровней группируются, образуя более крупную структуру, то нервные волокна, приходящие к ней от предыдущей структуры и идущие от нее к следующей, обычно группируются в пучки, называемые трактами.

На схеме (рис. 13) можно видеть, насколько распространены процессы дивергенции и конвергенции сигналов: аксон почти каждой клетки данного уровня ветвится при подходе к следующему уровню и оканчивается на нескольких или многих клетках; и наоборот, клетка любого уровня, кроме первого, имеет синаптические входы от нескольких или многих клеток предыдущего уровня.

Рис. 13. Многие отделы центральной нервной системы организованы в виде последовательных слоев-уровней. Клетка одного уровня получает многочисленные возбуждающие и тормозные входы от предыдущего уровня и посылает выходные сигналы многим клеткам последующего уровня. Основную массу входной информации нервная система получает от рецепторов глаз, ушей, кожи и т.д., которые преобразуют такие внешние воздействия, как свет, тепло или звук, в электрические нервные сигналы. Выходом могут быть сокращения мышц или реакции железистых клеток.

Очевидно, что мы должны усовершенствовать и конкретизировать эту упрощенную схему, и у нас для этого есть некоторая отправная модель. Прежде всего на входном конце мы имеем не одну, а много сенсорных систем — зрение, осязание, вкус, обоняние и слух, и каждая система имеет свой собственный набор уровней в мозгу. Когда и где в мозгу различные наборы уровней сводятся вместе, если они действительно сводятся, все еще неясно.

Прослеживая одну систему, например зрительную или слуховую, от рецепторов до мозга, мы можем обнаружить, что она разделяется на отдельные подсистемы. В случае зрения эти подсистемы имеют отношение специально к движениям глаз, сокращению зрачка, восприятию формы, движения, глубины или цвета объектов. Таким образом, вся система дивергирует на отдельные каналы (пути); таких каналов может быть много и они могут сильно разниться по своей длине. Уже сразу видно, что некоторые пути содержат много структур на своем протяжении, а другие — мало. При более детальном анализе оказывается, что какой-то аксон одного уровня может идти дальше, не заходя на один или два последующих уровня сенсорной системы, и даже прямо направиться к двигательному нейрону. (Такой пропуск уровней в нейроанатомии аналогичен тому, что часто случается в генеалогии. Современный английский монарх не связан с Вильгельмом Завоевателем однозначным числом поколений: число приставок «пра» к слову «дед» неопределенно из-за родственных браков между племянниками и тетками и других еще более сомнительных обстоятельств.)

Если путь от входа к выходу очень короток, мы называем это рефлексом. В зрительной системе сужение зрачка при ярком свете служит примером рефлекса, в котором число синапсов, вероятно, около шести. В наиболее простом случае аксон от рецептора оканчивается прямо на двигательном нейроне, так что мы имеем от входа к выходу всего три клетки (рецептор, двигательный нейрон и мышечное волокно) и только два синапса; такую ситуацию мы называем моносинаптической рефлекторной дугой. (Возможно, человек, сочинивший этот термин, не рассматривал нервно-мышечное соединение как настоящий синапс или не умел считать до двух.) Этот короткий путь активируется, когда врач стучит молоточком по вашему колену и нога подпрыгивает. Джон Николлс обычно говорил своей аудитории в Гарвардской медицинской школе, что есть только два резона проверять этот рефлекс: убить время и проверить, нет ли у больного сифилиса.

На выходном конце мы находим не только различные группы мышц, расположенные на туловище, в конечностях, глазах и языке, которыми мы можем управлять произвольно, но также мускулатуру, обслуживающую менее произвольные или непроизвольные, «хозяйственные» функции, такие как взбалтывание содержимого желудка, мочеиспускание или дефекация, а в промежутках между этими актами — закрытие выводных протоков с помощью сфинктеров.

Мы должны также дополнить нашу модель путями обратной передачи информации. На нашей схеме (рис. 13), разумеется, доминирует направление слева направо, от входа к выходу. Но почти во всех случаях, когда сигналы передаются от одного уровня к следующему, возвратные связи направляют их также назад, со второго уровня на первый. (Иногда мы можем догадываться, для чего такая обратная связь могла бы служить, но почти во всех случаях у нас нет на этот счет ясного понимания.) Наконец, даже в пределах какого-то одного уровня мы часто обнаруживаем богатую сеть соединений между соседними клетками. Таким образом, утверждение, что та или иная структура содержит определенное число уровней, почти всегда будет чрезмерным упрощением.

Когда я начинал работать в области неврологии в начале 50-х годов, этот основной план нервной системы был хорошо известен. Но в те дни никто не имел четкого представления о том, как понимать организацию этой информационной эстафеты по цепи уровней. Сейчас мы значительно больше знаем о способах преобразования информации в некоторых частях мозга; о других частях нам еще почти ничего не известно. Оставшиеся главы этой книги посвящены зрительной системе, которую мы сегодня понимаем лучше всего. Ниже я попытаюсь дать обзор некоторых фактов, известных нам об этой системе.

Зрительный путь

Теперь мы можем приспособить нашу первоначальную схему (рис. 13) к специальному случаю зрительного пути. Как показано на рис. 14, рецепторы и следующие два уровня находятся в сетчатке. Рецепторами служат палочки и колбочки; зрительный нерв — общий выход всей сетчатки — представляет собой пучок аксонов клеток третьего уровня, называемых ганглиозными клетками сетчатки. Между рецепторами и ганглиозными клетками имеются промежуточные нейроны, из которых наиболее важны биполярные клетки. Зрительный нерв направляется к расположенной глубоко в мозгу промежуточной станции — наружному коленчатому телу. Отсюда после всего лишь одного набора синапсов выходные сигналы направляются к стриарной коре, содержащей три или четыре уровня.

Рис. 14. Начальные уровни зрительной системы млекопитающих имеют слоистую организацию, часто встречающуюся в центральной нервной системе. Первые три уровня размещаются в сетчатке, остальные в мозгу — в наружных коленчатых телах и далее в коре мозга.

Рис. 15. Любой уровень в схемах на рис. 13 и 14 состоит из двумерного слоя клеток. Клетки любого уровня могут быть так плотно упакованы, что им приходится размещаться в несколько слоев; тем не менее они все принадлежат к одному уровню.

Каждую колонку приведенной схемы можно представить себе как пластину из клеток в поперечном разрезе. Если, например, вы будете смотреть налево от слоя, расположенного на странице справа, то увидите все клетки предыдущего слоя. Каждая клеточная колонка на рисунке представляет собой двумерный массив клеток, подобно тому как это показано для палочек и колбочек на рис. 15.

Начиная здесь рассуждать об отдельных уровнях, мы сразу же должны вспомнить о нашем сравнении с генеалогией. В сетчатке, как мы увидим в главе 3, минимальное число уровней от рецепторов до выхода составляет, несомненно, три, но из-за наличия двух других типов клеток некоторая часть информации проходит непрямыми путями с четырьмя или пятью уровнями от входа до выхода. Для удобства на схеме эти окольные пути, несмотря на их важность, не показаны; кроме того, упрощены также связи между нейронами. Когда я говорю о ганглиозных клетках сетчатки как об «уровне 3 или 4», это не значит, что я забыл, сколько их есть.

Для того чтобы понять характер передачи сигналов в подобного рода сети, мы можем для начала рассмотреть поведение одиночной ганглиозной клетки сетчатки. Из анатомии мы знаем, что такая клетка имеет входы от многих биполярных клеток — возможно от 12, 100 или 1000, каждая из которых тоже в свою очередь получает сигналы от сходного числа рецепторов. Как общее правило, все клетки, посылающие сигналы к какой-то одной клетке данного уровня (как, например, биполярные клетки, «питающие» одну ганглиозную клетку), тесно группируются вместе. В сетчатке нейроны, соединенные с какой-либо одной клеткой следующего уровня, обычно лежат в зоне диаметром от 1 до 2 миллиметров, и уж во всяком случае не разбросаны по всей сетчатке. Иными словами, внутри сетчатки нет соединений длиннее примерно 1–2 миллиметров.

Если бы мы располагали подробным описанием всех связей в такой структуре и достаточными познаниями в клеточной физиологии — например, знали, какие синапсы возбуждающие, а какие тормозные, то мы в принципе могли бы вывести заключение о происходящих здесь преобразованиях информации. Однако в отношении сетчатки и коры мозга имеющиеся в нашем распоряжении сведения отнюдь не удовлетворяют этому условию. Поэтому наиболее эффективный подход к решению этой задачи заключался до сих пор в микроэлектродной регистрации активности клеток и в сопоставлении их входных сигналов и выходных реакций. В зрительной системе это равносильно поискам ответа на вопрос: что происходит в клетке, будь то ганглиозная клетка сетчатки или клетка коры, когда глазу предъявляют тот или иной зрительный стимул.

При попытке активировать светом клетку уровня 3 (ганглиозную), нашим первым интуитивным поступком, вероятно, было бы осветить все питающие ее палочки и колбочки ярким светом, направленным в глаз. Именно так полагало большинство исследователей конца 40-х годов, когда физиологи еще только начинали осознавать важность синаптического торможения и никто не понимал, что тормозные синапсы столь же многочисленны, как и возбуждающие. Из-за торможения результат всякой стимуляции решающим образом зависит от того, куда в точности попадает свет, и от того, какие связи являются тормозными, а какие возбуждающими. Если мы хотим сильно активировать ганглиозную клетку, то едва ли не самое глупое, что можно сделать, это стимулировать все соединенные с ней палочки и колбочки. Стимуляция большим световым пятном или, как предельный случай, освещение всей сетчатки рассеянным светом обычно приводит к тому, что импульсация клетки не учащается и не замедляется, т.е. фактически ничего не происходит: клетка просто сохраняет импульсацию на уровне покоя порядка 5–10 импульсов в секунду. Для повышения частоты разрядов мы должны освещать некоторое частичное подмножество рецепторов, а именно те из них, которые связаны с данной клеткой (через биполярные нейроны) таким образом, что их влияние окажется возбуждающим. Освещение только одного такого рецептора едва ли может дать сколько-нибудь заметный эффект, но если бы мы осветили все рецепторы с возбуждающим эффектом, то мы были бы вправе ожидать суммирования их влияний и активации клетки — именно так фактически и происходит. Как мы увидим позже, наилучшим стимулом для большинства ганглиозных клеток сетчатки оказывается небольшое световое пятнышко строго определенного размера, вспыхивающее в строго определенном месте. Это, кроме всего прочего, говорит о том, какую важную роль в функции сетчатки играет торможение.

Произвольное движение

Хотя книга будет посвящена в основном начальным, сенсорным уровням нервной системы, я хочу привести два примера, касающихся движения, чтобы дать представление о том, что могут делать конечные уровни схемы на рис. 13.

Рассмотрим сначала, как движутся наши глаза. Каждый глаз имеет почти сферическую форму и может свободно поворачиваться подобно шарику в гнезде. (Если бы глазу не надо было двигаться, он вполне мог бы возникнуть в процессе эволюции в виде прямоугольного ящика, похожего на старинный фотографический аппарат.) К каждому глазу прикреплены шесть наружных глазных мышц, которые управляют его движениями. Для нас здесь не существенно, как все эти мышцы прикрепляются к глазу, но из рис. 16 легко видеть, что для поворота одного из глаз, скажем правого, внутрь к носу человек должен расслабить наружную прямую мышцу и сократить внутреннюю прямую. Если бы каждая мышца не обладала все время некоторым тонусом, глаз бы свободно болтался в глазнице; поэтому любое движение глаза осуществляется путем сокращения одной мышцы и в точности такого же по величине расслабления мышцы-антагониста. (Это относится и к работе почти всех мышц тела.) Далее, всякое движение одного глаза почти всегда является частью более сложного комплекса движений. Если мы смотрим на объект, расположенный очень близко, оба глаза поворачиваются внутрь; если мы смотрим налево, правый глаз поворачивается внутрь, а левый — наружу; если же мы смотрим вверх или вниз, оба глаза вместе поворачиваются вверх или вниз.

Рис. 16. Положение каждого глаза контролируется шестью отдельными мышцами, две из которых показаны на этом рисунке. Эти мышцы — наружная прямая и внутренняя прямая — контролируют горизонтальный поворот глаз, осуществляемый при переводе взгляда слева направо или от близких объектов к удаленным. Другие восемь мышц, по четыре на каждый глаз, контролируют поднятие и опускание глаз, т.е. поворот в вертикальной плоскости.

Всеми этими движениями управляет мозг. Каждую глазную мышцу заставляет сокращаться импульсация двигательных (моторных) нейронов, расположенных в участке мозга, который называют мозговым стволом. Каждой из двенадцати мышц соответствует небольшое скопление из нескольких сотен двигательных нейронов ствола. Эти скопления называются глазодвигательными ядрами. Каждый моторный нейрон глазодвигательного ядра обслуживает несколько мышечных волокон одной из глазных мышц. Эти нейроны в свою очередь получают сигналы от других возбуждающих волокон. Для такого движения, как конвергенция глаз, нужно, чтобы эти предшествующие нейроны посылали ответвления своих аксонов к соответствующим двигательным нейронам, обслуживающим обе внутренние прямые мышцы. Такая одиночная предшествующая клетка могла бы иметь ветвящийся надвое аксон, одна ветвь которого идет к одному глазодвигательному ядру, а другая — к его двойнику на противоположной стороне. В то же самое время нужно, чтобы другая предшествующая нервная клетка (или клетки), аксон которой имеет тормозящие окончания на двигательных нейронах наружной прямой мышцы, вызывала ее строго соразмерное расслабление. Необходимо, чтобы оба набора предшествующих клеток разряжались совместно, обеспечивая одновременное сокращение и расслабление, а для этого мы могли бы иметь одну управляющую клетку (или группу клеток) на еще более раннем уровне, которая бы возбуждала обе группы. Таков один из механизмов, позволяющих получить координированные движения с участием многих мышц.

Практически каждое осуществляемое нами движение — результат совместного сокращения многих мышц и расслабления многих других. Если вы захотите сжать пальцы в кулак, то мышцы передней поверхности вашего предплечья (на той стороне руки, где ладонь) сократятся, что можно ощутить, положив на предплечье другую руку. (Большинство людей, наверное, думают, что мышцы, сгибающие пальцы, находятся в кисти руки. Кисть действительно содержит некоторые мышцы, но это не сгибатели пальцев.) Как показано на рис. 17, мышцы предплечья, сгибающие пальцы, связаны с тремя косточками каждого пальца длинными сухожилиями, ход которых можно проследить на передней поверхности запястья. Некоторое удивление может вызвать то, что при сжимании кулака сокращаются также мышцы на тыльной стороне предплечья. Это может показаться совершенно излишним, если не учитывать, что, сжимая кулак, мы хотим жестко зафиксировать запястье в среднем положении: если бы сократились только сгибатели пальцев, их сухожилия, проходя по передней поверхности запястья, согнули бы также и его. Нужно скомпенсировать эту тенденцию к нежелательному сгибанию запястья путем сокращения мышц, отгибающих запястье назад, а они находятся как раз на тыльной стороне предплечья. Важно то, что мы это делаем не думая. Более того, мы не обучаемся этому, посещая утренние лекции или оплачивая услуги тренера. Новорожденный ребенок хватает вас за палец и крепко держится за него настоящим кулаком без какой-либо предварительной тренировки. По-видимому, в спинном мозгу у нас есть какие-то клетки исполнительного типа, которые посылают возбуждающие ветви как к сгибателям пальцев, так и к разгибателям запястья, и функция которых состоит в обслуживании процесса сжатия кулака. Видимо, связи этих клеток полностью «запаяны» еще до рождения, так же как и связи клеток, которые позволяют сводить глаза при разглядывании близких предметов, не думая об этом и не обучаясь этому.

Рис. 17. При сжатии пальцев в кулак действуют мышцы, сухожилия которых проходят в кисть впереди от лучезапястного сустава и поэтому стремятся согнуть также и кисть. Чтобы противодействовать этому и фиксировать кисть, должны сокращаться и разгибатели кисти.

Более 800 000 книг и аудиокниг! 📚

Получи 2 месяца Литрес Подписки в подарок и наслаждайся неограниченным чтением

ПОЛУЧИТЬ ПОДАРОК