II.З Материнское поведение

Посмотри на двух лошадей, которые на первый взгляд не отличаются друг от друга ни по величине, ни по виду. Как узнать, кто из них мать и кто сын? Дай им сена. Мать подсунет его своему сыну.

Учение Будды

На материнское поведение мозг женщины программируется уже во время беременности. Гормоны вызывают в нем изменения, которые после родов закрепляются присутствием ребенка. Изменения в мозге матери носят долговременный характер, возможно, они даже оказываются постоянными. Дети, которые давно выросли, нередко сетуют, что пуповина, связывавшая их с матерью, на самом деле так и не была перерезана, а матери жалуются, что заботы и страхи, связанные со взрослыми детьми, никогда их не оставляют. Если с детьми что-то случается, некоторые матери говорят, что они уже накануне это предчувствовали. Так и есть, просто потому, что они каждый день беспокоятся за своих детей.

В ходе беременности гормон пролактин отвечает за поведение, ориентированное на устройстве гнезда. Дом должен быть убран, стены детской заново выкрашены. В ходе работы над диссертацией, когда я однажды вошел туда, где размещались подопытные крысы, мне показалось, что клетки с самцами заменили на клетки с беременными самками, устраивавшими большие гнезда из стружек. Но это были самцы, и они строили гнезда, потому что накануне я ввел им пролактин, гормон мозга, вырабатываемый гипофизом во время беременности. В Wilhehnina Gasthuis [11] в Амстердаме пациент с опухолью гипофиза, вырабатывавшей пролактин, с наибольшим удовольствием помогал санитарам мыть с мылом шкафчики.

В конце беременности клетки мозга как матери, так и еще не родившегося ребенка начинают вырабатывать уже упоминавшийся гормон окситоцин, который затем поступает в кровь. Этот гормон мозга выполняет множество функций. Окситоцин хорошо известен как средство, с помощью которого, если это необходимо, вызывают наступление родов. Некоторые роженицы ползают после родов окситоцин в форме назального спрея, чтобы стимулировать выделение молока. В конце беременности окситоцин стимулирует схватки и тем самым способствует ускорению родов мозг матери ночью вырабатывает больше окситоцина, и матка ночью также более чувствительна к этому гормону, так что схватки наступают преимущественно в спокойное время суток. Во время родов выработка окситоцина увеличивается особенно сильно, когда головка плода давит на выход из матки. Сигнал через спинной мозг передается в мозг матери, сразу же вырабатывающий увеличенную порцию окситоцина, чтобы усилить схватки. Если роженице делают обезболивающий укол в спину, это послание в ее мозг больше не поступает, и гипофиз производит меньше окситоцина, так что часто приходится делать инъекции этого гормона, чтобы вызвать более сильные схватки.

После родов окситоцин обеспечивает появление молока при грудном вскармливании. Когда ребенок сосет грудь, это стимулирует выделение окситоцина мозгом матери, благодаря чему молоко поступает из молочной железы. Через некоторое время достаточно плача младенца, чтобы включить рефлекс и обеспечить настолько сильное выделение окситоцина, что молоко выпрыскивается из груди. На людях это может создавать неудобства. Подобный рефлекс давным-давно известен крестьянам. Стоит войти в хлев с гремящими ведрами, как у коров молоко уже начинает струиться из вымени.

Плач грудного младенца — своего рода реле для матери, сигнал поспешить накормить ребенка, и молоко тут же начинает выступать из сосков. В последнее время становится всё яснее, что в ходе многих социальных взаимодействий окситоцин играет важную роль, и поэтому он получил несколько новых наименований. Его действие на мозг матери и ребенка укрепляет связь между обоими, которую уже в конце беременности начинает стимулировать возрастающий уровень окситоцина. Повышенной выработки окситоцина, как при естественных родах, не происходит при кесаревом сечении Этим объясняется, что после такой операции мозг матери не так сильно реагирует на плач младенца, и материнское поведение формируется труднее. Во время кормления и игры с ребенком окситоцин, воздействуя на мозг матери, вызывает успокаивающий эффект и стимулирует у нее углубление внутреннего контакта с ребенком и привязанности к нему. Матери, не имеющие тесного внутреннего контакта с ребенком, во время игры с ним не показывают увеличения содержания окситоцина. Поэтому окситоцин и называют сейчас также гормоном привязанности. С другой стороны, содержание окситоцина в крови у детей, воспитывавшихся в приютах, ниже по сравнению с детьми, которые росли в родной семье. Дети, которыми пренебрегли на самой ранней стадии их развития, оказываются не в состоянии снабжать кровь достаточным количеством окситоцина даже спустя три года после обретения приемных родителей, с которыми у них установились сердечные отношения. Формирование привязанности таких детей к приемным родителям надолго нарушено. Недавние исследования женщин, в детстве испытывавших эмоциональное пренебрежение, жестокое обращение или сексуальное насилие, свидетельствуют о продолжающемся воздействии всех этих факторов. Содержание окситоцина в мозговой жидкости этих взрослых женщин было резко понижено, и это вызывает опасения, что подобные проблемы могут передаваться следующему поколению. Окситоцин также тормозит стрессовую ось. Если девочка 7-12 лет испытывает стресс в связи с тем, что ей нужно будет выступить перед незнакомыми людьми, успокаивающее поведение матери приводит к выделению окситоцина. При этом не важно, при ласкает ее мать или просто успокоит по телефону.

Наблюдения свидетельствуют также о возможности сдерживать часто докучное, чрезмерно заботливое поведение матери по отношению к уже взрослым детям. Экспериментально возможно материнское поведение обезьян прервать веществом, противодействующим окситоцину, — прекрасное средство для матерей, которые всё еще денно и нощно беспокоятся о своих взрослых детях. К сожалению, это вещество уменьшает интерес обезьян не только к своим малышам, но и к своему сексуальному поведению.

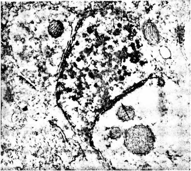
Тридцать лет назад наша исследовательская группа проводила эксперименты по выяснению влияния окситоцина на мозг и поведение. Мы создавали антитела к окситоцину, разрабатывали специальную окраску для этого вещества в мозге и искали те участки, где окситоцин производится и выделяется. Мы нашли в некоторых структурах мозга обширные сети клеток и их отростков, которые содержали окситоцин (рис. 5а). Нервные волокна осуществляли контакт с другими клетками мозга, куда они это вещество выделяли как химический нейротрансмиттер. С помощью электронного микроскопа мы обнаружили, что места выделения выглядят точно так же, как места контактов (синапсы) между нервными клетками, которые мы знали по другим химическим медиаторам (рис. 5Ь). Места выделения обусловливают влияние окситоцина на поведение. В зависимости от социального контекста окситоцин выделяется в различных участках мозга и причастен к осуществлению различных видов поведения. Таким образом, окситоцин рассматривают как медиатор склонности, сердечности, спокойствия, доверия и привязанности. Было также обнаружено, что окситоцин подавляет страх, воздействуя на миндалевидное тело — центр страха и агрессии. При теплом человеческом контакте, при ласках не только повышается уровень окситоцина в крови, больше окситоцина выделяется также и в мозге. Кроме того, оксито цин выступает в качестве нейротрансмиттера, сообщающего мозгу, что вы уже сыты. Окситоцин задействован не только в материнском поведении, но и в отношениях между взрослыми, в реакциях на социальный стресс и при сексуальном контакте. Поэтому он известен также как «гормон любви».

Рис. 5а. Окситоцин и вазопрессин производятся в паравентрикулярном ядре (nucleus paraventricularis, PVN) и надзрительном (супраоптическом) ядре (nucleus supraopticus, SON) гипоталамуса и как нейрогормоны поступают в кровообращение в задней доле гипофиза. Окситоцин вызывает сокращение в молочных железах при кормлении грудью и сокращения матки при родах. Вазопрессин действует как антидиуретический гормон на работу почек.

Кроме того, окситоцин и вазопрессин транспортируются в известные (обозначены сокращениями) и неизвестные (обозначенные как «?») области мозга и через нервные окончания выделяются там как нейритрансмиттеры.

A — миндалевидное тело (амигдала); AM — переднемедиальное субъядро миндалевидного комплекса; BST — опорное ядро концевой полоски; DBB — диагональная извилина (диагональная связка) Брока; DMV — моторное дорсальное вагусное ядро; LC — голубое пятно; NSM — медиальное ядро перегородки; NTS — ядро солитарного тракта; PBN — парабрахиальное ядро; PVN — паравентрикулярное ядро; SON — супраоптическое ядро; SCN — супрахиазматическое ядро; SN — черная субстанция.

(А — amygdala; AM — anteromedial subnucleus of the basal nucleus; BST — bed nucleus of the stria terminals; DBB — diagonal band of Broca; DMV — dorsal motor nucleus of the nervus vagus; LC — locus coeruleus; NSM — nucleus septalis medialis; NTS — nucleus of the solitary tract; PBN — parabrachial nucleus; PVN — paraventricular nucleus; SON — supraoptic nucleus; SCN — suprachiasmatic nucleus; SN — substantia nigra)

Рис. 5B. В электронный микроскоп окситоцин и вазопрессин видны как черные зернышки в месте контакта отростков нейронов (синапсе). (Buys R. М. Swaab D. FCell Tiss. Res. 204, 355–365, 1979.) Поступая в мозг, эти вещества влияют на наше поведение, например на социальное взаимодействие.

Крестьяне испокон веку знают о воздействии окситоцина, хотя в жизни ничего не слыхали об этом гормоне. Если нужно отдать ягненка приемной матери, стимулируют вагину и матку овцы, что вызывает выделение окситоцина, и гормон привязанности заботится о том, чтобы направить материнское поведение овцы на чужого ягненка.

Мозг вырабатывает также близкородственное вещество — вазопрессин. Наряду с окситоцином он играет ключевую роль в материнском поведении, в том числе и в ярости, с которой мать защищает своего ребенка. Это вещество причастно и к другим видам социального поведения, таким как формирование пары. Достаточно небольшого изменения в одной из строительных ячеек ДНК рецептора вазопрессина (протеина, который принимает послание вазопрессина в мозге) — и у мужчин появляется вдвое больше проблем в браке, возникает вдвое больше разводов и вдвое больше измен. Если мужчине после приема вазопрессина показать изображение незнакомого человека, он воспринимает выражение его лица как недружелюбное, что потворствует ксенофобии. У женщин всё происходит прямо противоположным образом. Вазопрессин вызывает у них симпатию к незнакомцу, поскольку женщины больше обращают внимание как раз на приятные черты чужого лица. Нетрудно представить, что кое-кому покажется соблазнительной мысль о возможности улучшить человеческое общество с помощью спрея окситоцина для мужчин и вазопрессина для женщин.

Недавно было обнаружено, что нарушения в системах вазопрессина и окситоцина в мозге могут встречаться при аутизме. Аутистам часто с трудом удается судить о чувствах и намерениях другого по его мимике (читать Моюш) или сопереживать вместе с ним (сочувствовать другому). Некоторые из них, например, не могут понять, что означает плач чужого ребенка, или не различают эмоций в голосе говорящего. По словам Темпл Грэндин, аутистки и профессора ветеринарии в США, ее эмоциональная цепь попросту отключена. И действительно, сейчас уже выявлено отклонение содержания вазопрессина и окситоцина в крови при аутизме. Установлены также небольшие генетические изменения в протеинах, которые принимают в мозге послания вазопрессина или окситоцина. Обогащение окситоцином, напротив, улучшает чтение мыслей. И тогда удается лучше воспринимать по выражению лица мысли и намерения собеседника. Окситоцин повышает к тому же способность распознавать эмоции в голосе и понимание эмоционального значения интонаций в речи. И вазопрессин, и окситоцин могут быть причастны к симптомам аутизма, но рассматривать их как социальный мозг было бы колоссальным упрощением. На социальное поведение влияет и множество других медиаторов и мозговых структур.

Возможности приложения знаний о воздействии этих веществ кажутся весьма обширными. Психологические эксперименты с играми, в которые играют на деньги, показали, что у человека высокое содержание окситоцина сопутствует доверию к другим, в том числе и к незнакомым людям. Доверие сохраняется, даже если такой человек бывает многократно обманут. Конечно, это самым непосредственным образом используется в коммерческих интересах. Через Интернет предлагают так называемый Liquid Trust[12], окситоциновый спрей, которым нужно опрыскать свою одежду, чтобы вызвать доверие со стороны партнера, клиентов, сотрудников или шефа. Поскольку этим способом в окружающую среду попадают поистине ничтожные дозы, всё это следует рассматривать как чистый обман или, выразимся более деликатно, как плацебо[13].

Помимо всего прочего, возникает вопрос, действительно ли можно имитировать нормальные процессы в мозге, непосредственно применяя окситоцин с помощью назального спрея. Ведь в мозге при определенных условиях в строго определенном месте, очень точно, выделяется строго ограниченное количество окситоцина. Доза окситоцина из назального спрея, попадая в мозг, может вызвать совершенно иной эффект. И это общая проблема лечения болезней мозга. Строго специализированные функции систем мозговых клеток можно заменять приемом внутрь медиаторов с таким же успехом, как заменить вычислительное устройство числами, которые оно само производит.

Более 800 000 книг и аудиокниг! 📚

Получи 2 месяца Литрес Подписки в подарок и наслаждайся неограниченным чтением

ПОЛУЧИТЬ ПОДАРОК