Резонансные контуры и зеркальные нейроны

В книге много места было отведено обсуждению возможной роли социальных контуров мозга в опыте внимательности. Идея о том, что внутренняя сонастройка – важнейшее звено внимательного осознавания, влечет за собой представление о том, что мы непосредственно обращаем внимание на собственный ментальный опыт: осознаём свое сознавание и ощущаем намерение. Когда мы исследуем, как именно мы фокусируем внимание на намерении, то обращаемся к исследованиям, касающимся нейрональных коррелятов намерения, и приходим к важному открытию системы зеркальных нейронов.

Зеркальные свойства нервной системы определяются как пути, которыми наш социальный мозг осуществляет процессы, в ходе которых он воспринимает намеренные, целенаправленные действия других и связывает это восприятие с запуском двигательных систем для совершения того же наблюдаемого действия. Зеркальная система – производное от термина «зеркальный нейрон» в том смысле, что мы готовы повторить действие, которое видим, зеркально в своем поведении подражая другим. Мы обсуждали нейрональные корреляты восприятия чужих намерений и того, как это отражается на нашем осознавании собственных глубинных намерений. Все это лежит в сердцевине практики внимательности.

Выдвигая гипотезу о взаимосвязи зеркальных нейронов и внимательности, мы опирались на более широкое предположение, что внимательность – форма внутренней сонастройки, использующая социальные контуры мозга. Можно провести исследования, которые подтвердили бы ценность такого предположения. Обращаясь к данным уже проведенных исследований, я прилежно искал предварительные доказательства (собранные post hoc, так как цель исследований заключалась в других вещах), которые могли бы послужить даже малейшим намеком на эмпирическое подтверждение моей точки зрения. Мой собственный опыт в первом лице указывает на справедливость гипотезы о сонастройке. Теперь я искал данные от третьего лица, которые придали бы большую достоверность моим идеям. В конечном счете оказалось, что нужны дополнительные исследования, для того чтобы подтвердить или опровергнуть их в ходе анализа результатов.

В существующих исследованиях, как мы сказали выше, был найден ряд данных, согласующихся с областями, обладающими зеркальными свойствами. Эти области активируются в ходе медитации. Например, это касается добавочной двигательной области, которая активируется во время медитации внимательности, а также активации премоторной области при медитации на безобъектном сострадании. Эти данные подтверждают участие областей, содержащих зеркальные нейроны. Конечно, эти данные отнюдь не гарантируют, что в этих ситуациях на самом деле активировались зеркальные нейроны.

В работах Брефжински-Льюис, Лазар и Шорта, выполненных с участием испытуемых, занимавшихся медитацией внимательности с сосредоточением на дыхании, была выявлена активация сопряженных областей в верхних отделах височной коры. Эти задние области на сканах мозга накладываются на области верхней височной извилины и верхней височной борозды. Кора содержит множество складок, выступающие области называются извилинами, а западающие – бороздами. Выполненные к настоящему времени исследования показали, что имитация и подражание связаны с областями, обладающими зеркальными свойствами, и с верхней височной бороздой, а другие исследования позволяют предположить, что в реакции на мимическое выражение эмоций у других людей участвует верхняя височная извилина. В межличностной сонастройке мы реагируем на выражение чужих лиц активацией извилины, воспринимающей это выражение, и активацией области борозды, где локализована способность к подражанию. Естественно, требуются дополнительные исследования для того, чтобы оценить роль каждой из этих областей – борозды и извилины – в медитации внимательности и ее корреляции с процессами сонастройки и отзеркаливания.

Обзор исследований роли верхней височной борозды, выполненный Десети и Шаминадом, показывает, что эта область участвует в зрительном восприятии социально значимых жестов и в наблюдении действий живых существ, например в восприятии биологического движения, разделяя эту функцию с верхней височной извилиной, так же как восприятие речи и звуков, производимых людьми. Авторы констатируют, что верхняя височная извилина – это часть височной коры.

Это важный компонент нейронального контура, участвующий в социальном познавании (контура, который через прямые и косвенные связи получает входы от вентральных и дорсальных зрительных потоков, от миндалины, глазнично-лобной коры и префронтальной коры). Этот кластер активности обнаруживается в обоих полушариях, если речь идет о противопоставлении активного подражания или состояния, когда подражают испытуемому, в отличие от ситуации, когда речь идет о самостоятельных действиях. Однако активация имеет место только в левом полушарии, когда устранялось влияние условия, согласно которому осуществляется подражание испытуемому, и оставалось лишь условие активного подражания. Латерализация активности верхней височной извилины – интригующая находка, и этот феномен может играть важную роль в нейронной основе различения между информацией от первого лица и информацией от третьего лица, воспринимаемых в зрительной модальности. Мы полагаем, что правая верхняя височная извилина участвует в начальном зрительном анализе чужих действий, в то время как соответствующая область левого полушария участвует в анализе других действий в их отношении к собственным намерениям.

Здесь мы видим, что верхняя височная извилина, вероятно, играет важную роль в создании репрезентаций себя, другого и состояний намеренности (или интенциональных состояний). В целом верхняя височная кора, видимо, играет важную роль в том, как мы приходим к ощущению нашего внутреннего мира и составляем карты намерений, накладывая ее на воспринятый текущий чувственный опыт.

Очень важно отметить утверждение Марко Якобони о том, что верхняя височная борозда и верхняя височная извилина – сенсорные области высокого уровня, содержащие нейроны, обладающие сложными зрительными, слуховыми и мультисенсорными свойствами, но не обладающие свойствами двигательными. Учитывая, что эти области лишены двигательных свойств, мы не можем считать их «зеркальными», ибо определение зеркального нейрона начинается с его участия в собственном действии, а поэтому зеркальный нейрон должен обладать двигательными свойствами. В своей статье об имитации и подражании Якобони отчетливо различает теменные и нижнелобные области локализации зеркальных нейронов и вклад в имитацию со стороны верхней височной борозды именно на основе вышеприведенных рассуждений. Употребляя термины система зеркальных нейронов или зеркальные нейроны, Якобони призывает нас корректно применять эти обозначения, поскольку они относятся к нейронам, специфически обладающим двигательными свойствами. С областями зеркальных нейронов непосредственно связаны верхние височные участки, в которых осуществляются сложные процессы восприятия, включая карту предугадывания последствий двигательных актов, которую мы называем сенсорными следствиями двигательного акта. Таким образом, вклад верхних отделов височной коры, отвечающей за такие следствия, – часть функционально сложного процесса, в ходе которого непосредственно взаимодействуют многие мозговые нейронные контуры. Несмотря на то что другие авторы могут включать эти сенсорные контуры в систему зеркальных нейронов, мы все же последуем предложению Якобони «различать эти две системы, непосредственно взаимодействующие друг с другом».

Анализируя далее научную литературу, мы пришли к выводу, что процесс поведенческого подражания с участием верхних отделов височной коры и эмоциональный (физиологический) резонанс, требующий участия островка, тоже имеют отношение к системе зеркальных нейронов. При подражании верхние отделы височной коры кодируют сложные процессы сенсорных следствий двигательных актов; при эмоциональном резонансе островок осуществляет физиологический и аффективный сдвиг, имитирующий его у другого человека. Исходя из параллелизма этих функций реципрокного действия (имитационной, физиологической и аффективной), мы можем использовать термин «резонансный контур», подразумевая, что в нем могут участвовать зеркальные нейроны, но не все компоненты этого контура двигательные, поэтому формально мы не можем назвать такой контур зеркальным. В нашем обсуждении мы примем во внимание это отличие и будем называть резонансный контур именно так, или будем прибегать к выражению «области, связанные с системой зеркальных нейронов» (рис. П.1 и П.2).

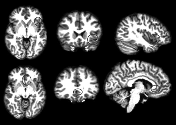
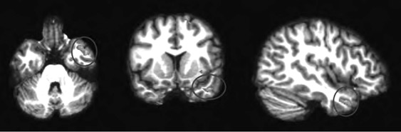
П.1

П.2

Рис. П.1, П.2. Функциональная МРТ, выполненная во время выполнения медитации осознавания дыхания. На снимках видна активация верхней височной извилины (рис. П.1) и активация островка и вентрального отдела передней поясной извилины (рис. П.2). Верхняя височная кора, островок и области срединной префронтальной коры (показанные здесь) вместе с системой зеркальных нейронов, как предполагается в тексте, содержат элементы «резонансного контура», которые активируются в ходе внимательного осознавания (снимки напечатаны с разрешения Сары Лазар © 2005)

Для того чтобы более подробно осветить нейробиологические основы этого феномена, позвольте привести мнение Карра и его коллег о взаимоотношениях между имитацией (подражанием), эмпатией (сопереживанием) и активностью зеркальных нейронов, расположенных в лобной и теменной долях, и взаимодействии этой сложной системы с мультимодальной афферентной системой верхней височной коры (ссылки смотрите в оригинале статьи, так как они были опущены в этом сжатом отрывке):

В мозге приматов существуют системы нейронов, связанные с репрезентацией эмоций и действий. Лимбическая система чрезвычайно важна для обработки эмоций и регуляции поведения, а контуры лобно-теменных сетей, взаимодействующие с верхней височной корой, важны для представления действий. Этот последний контур состоит из нижних лобных и задних теменных нейронов, которые разряжаются во время выполнения действия, а также при наблюдении чужого действия (зеркальные нейроны, а также нейроны верхней височной коры, которые разряжаются только при наблюдении действия). Анатомические и нейрофизиологические данные, полученные в опытах на мозге обезьян, а также данные нейровизуализации, выполненной на людях, позволяют утверждать, что этот контур играет чрезвычайно важную роль в подражании и что в этом контуре обработка информации протекает следующим образом: 1) верхняя височная кора кодирует раннее визуальное описание действия и посылает эту информацию в задние теменные зеркальные нейроны (этот преимущественный поток информации от верхней височной коры в заднюю теменную область осуществляется по устойчивым анатомическим путям, соединяющим верхнюю височную и заднюю теменную кору); 2) задняя теменная кора кодирует точный кинестетический вид движения и посылает эту информацию в нижне-лобные зеркальные нейроны (анатомическая связь между этими двумя областями достоверно подтверждена у обезьян); 3) нижняя лобная кора кодирует цель действия [нейрофизиологические данные и данные нейровизуализации подтверждают эту роль зеркальных нейронов нижнего отдела лобной коры]; 4) эфферентные копии плана действия отправляются из теменных и лобных областей зеркальных нейронов назад, в верхнюю височную кору, где происходит сличение визуального описания наблюдаемого действия и предсказанные сенсорные следствия запланированного имитационного действия; 5) после того как заканчивается сличение наблюдаемого действия и предсказанное сенсорное следствие запланированного имитационного действия, запускается акт подражания.

Запланированное «имитационное действие», которое необходимо сличать, представляет собой намек на резонанс – ибо подражательное поведение, аффект из сочувствия и, как нам представляется, ментальная связность в форме внутренней настройки – феномены, требующие «резонанса» с самим собой. По сути, эти верхние височные области непосредственно взаимодействуют с двигательными / чувствительными зеркальными нейронами в ходе осуществления сенсорного следствия двигательного акта, что было детально описано в главе 8 (см. рис. 8.1). Сенсорное следствие двигательного акта может быть одним из аспектов внутренней сонастройки, который создает внутренний резонанс при обращении внимания на намерение.

Эти контуры осознавания психического состояния других и собственного психического состояния обсуждаются в статье Десети и Шаминада:

Исследования, проведенные с использованием методов нейровизуализации, подтверждают тот взгляд, что во время наблюдения за действием, выполняемым другим человеком, так же как и при воображении собственных действий, начинают работать специфические нейрональные структуры, которые обычно участвуют и в выполнении такого же, но реального действия. Общую репрезентационную модель можно также приложить и к обработке эмоций (Adolphs, 2002). В этой модели восприятие эмоции активирует нейрональные механизмы, отвечающие за возникновение эмоций. Такой механизм побуждает наблюдателя вступить в резонанс с состоянием другого человека. При этом наблюдатель активирует двигательные репрезентации, которые дают повод для такой стимуляции, то есть происходит нечто вроде обратного картирования. Например, видя, как кто-то улыбается, наблюдатель активирует те же мимические мышцы, которые производят улыбку, и это подпороговое возбуждение вызывает у него ощущение удовольствия. Есть данные, говорящие об участии такого механизма в распознавании эмоций по выражению лица. Кроме того, общие представительства на корковом уровне были обнаружены для распознавания действий, обработки болевых ощущений и распознавания эмоций, что дает нам нейрофизиологическую основу для суждений о распознавании социально значимых сигналов.

В этой книге предполагается, что те же самые системы распознавания социально значимых сигналов, которыми мы пользуемся для проявления сочувствия и эмпатии к другим, используются и для создания «внутриличностного резонанса» в осуществлении процесса внимательности. Можно предположить, что это своего рода эмпатия, направленная на себя, которая, как и эмпатия вообще, более сложный феномен, чем имитация или резонанс, как о том пишут Десети и Джексон:

Эмпатия – это не просто резонанс аффекта между самим собой и кем-то другим. Эмпатия включает в себя явное представление о субъективности другого. Это осознанно переживаемый феномен. Самое главное, эмпатия необходимо предполагает регулирование эмоций, в чем важную роль играет вентральная префронтальная кора с ее прочными связями с лимбической системой, дорсолатеральными и медиальными префронтальными областями. Повторим еще раз: мы не считаем, что в мозге существует единая система (или модуль) эмпатии. Скорее всего, надо говорить о множественных, составных системах, участвующих в переживании эмпатии.

Точно так же, когда мы описываем «резонансный контур», включающий не только зеркальные нейроны плюс островок и верхние отделы височной коры, мы видим, что это разветвленная система, связанная, вероятно, с определенными участками префронтальной коры, в частности с ее срединной областью. Примечательно в этом отношении упомянутое в данной книге исследование Кресвелла, Уэя, Эйзенбергера и Либермана, данные которого показывают, что индивиды, обладающие способностью к внимательности как черте, или свойству, личности, во время выполнения задания – назвать эмоцию, глядя на фотографию человека, – выдают более выраженную, чем в контрольной группе, активацию двух областей: правой вентролатеральной префронтальной коры и медиальной префронтальной коры. Эта активация сочеталась с ослаблением активации миндалины, которая активировалась в первый момент после взгляда на фотографию. Авторы предполагают, что навык внимательности по словесному обозначению внутренних состояний может проявляться в усиленной префронтальной активации и в ослаблении активации миндалевидного тела (амигдалы). Это исследование представляет собой продолжение исследования Харири, Букхаймера и Мациотты, в котором было выяснено, что такая же активация префронтальной области и снижение активности миндалевидного тела происходили при словесном обозначении наблюдаемых феноменов. Здесь мы видим, что внимательность как черта, или свойство, личности способствует эффективному регулированию эмоций.

Сведенные воедино, эти взгляды позволяют предположить, что эмпатия в отношении других людей требует от нас умения регулировать собственные резонансные состояния так, чтобы, не становясь другими, ощущать их субъективное переживание. Навыки внимательности могут в значительной мере усиливать эту способность, создавая одновременно резонансные контуры (для усиления сочувствия и эмпатии) и саморегулирующиеся префронтальные контуры (для регулирования аффекта). Результатом становится возрастающая способность оставаться открытым для других, даже когда эти другие находятся в состоянии патологического стресса.

Внимательное осознавание само по себе может использовать эти резонансные (островок, верхняя височная кора, область зеркальных нейронов и срединная префронтальная кора) и саморегулирующиеся (в частности, орбитомедиальную кору и вентролатеральную префронтальную кору) контуры, создавая состояние эмпатии в отношении себя, которое возникает из внутренней настройки. Когда мы вступаем в резонанс с состояниями собственных намерений и аффектов и соединяем это с рефлексивными навыками самонаблюдения и словесного обозначения переживаемого опыта, то создаем тем самым способность к укреплению наших связей с самими собой и другими людьми.

Эти идеи порождают множество вопросов, на которые могут дать ответы будущие исследования. Если сонастройка – фундаментальная часть внимательности, то мы можем исследовать ее корреляцию с функциями тех областей мозга, которые содержат социальные контуры, включая отделы, связанные с системой зеркальных нейронов. Можно также исследовать способы, с помощью которых стимулирование активации и роста нейронов на фоне внутренней сонастройки может усилить чувствительность этих социальных контуров, что позволит прояснить некоторые нейрональные связи, возникающие вследствие повышения чувствительности к сигналам других людей и способности внимательности усиливать сочувствие и эмпатию.

Более 800 000 книг и аудиокниг! 📚

Получи 2 месяца Литрес Подписки в подарок и наслаждайся неограниченным чтением

ПОЛУЧИТЬ ПОДАРОК