Хромосомы дают первые сведения о структуре генома

Выше уже говорилось, что в ядре клетки молекулы ДНК расположены в особых структурах, получивших название хромосомы. Их исследование началось еще свыше 100 лет назад с помощью обычного светового микроскопа. Уже к концу XIX века выяснилось кое-что о поведении хромосом в процессе деления клеток и высказывалась мысль об их участии в передаче наследственности.

Хромосомы становятся видимыми в микроскопе при делении клетки на определенной стадии клеточного цикла, называемой митозом. Хромосомы в этом состоянии представляют собой компактные палочковидные структуры разной длины с довольно постоянной толщиной, у большей части хромосом имеется перетяжка, которая делит хромосому на два плеча. В области перетяжки расположена важная для удвоения хромосом структура, называемая центромерой. При делении клетки в ходе митоза происходит удвоение числа хромосом, в результате которого обе вновь образующиеся клетки в конечном итоге обеспечиваются одним и тем же стандартным набором хромосом.

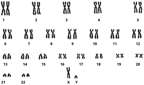
Лишь в 1956 г. впервые Ю. Тио и A. Леван описали хромосомный набор человека, определили количественный состав хромосом и дали их общую морфологическую характеристику. По сути дела эти работы и положили начало изучению структуры генома человека. У человека в каждой клетке тела содержится 46 хромосом, физические длины которых находятся в пределах от 1,5 до 10 мкм (рис. 7).

Рис. 7. Вид под микроскопом полного набора хромосом, содержащихся в ядре каждой отдельной клетки человека

Напомним читателю, что набор хромосом во всех клетках человека (за исключением половых) называют диплоидным (двойным), поскольку каждая из хромосом представлена двумя копиями (всего 23 пары). Каждая соматическая клетка человека (кроме красных кровяных клеток крови) содержит по 2 полных набора хромосом. В каждом единичном (гаплоидном) наборе присутствует 23 хромосомы — 22 обычные хромосомы (аутосомы) и по одной половой хромосоме — X или Y. Таким образом, геном каждого конкретного человека состоит из 23 пар гигантских молекул ДНК, распределенных в разных хромосомах, а если говорить о геноме человека вообще (мужчин и женщин), то общее число таких молекул равно 24. Это первое базовое сведение, которое было получено о геноме человека при анализе хромосом.

Изучение строения (размера и формы) хромосом человека показало, что большинство из них по внешнему виду напоминают кегли, состоящие из двух толстых частей (хроматид) и тонкой перетяжки (центромеры) между ними. Сходство с кеглями, а не с гантелями заключается в том, что центромера чаще всего расположена не в центре хромосомы, а смещена к одному из ее концов. Размеры хромосом сильно варьируют, самая короткая хромосома примерно в десять раз меньше, чем самая длинная. Это второе принципиально важное сведение о структуре генома человека — составляющие его 24 молекулы ДНК имеют разный размер.

Если сравнивать число и размер хромосом у человека и у других видов организмов, то можно увидеть огромные отличия. Например, у коровы, размер генома которой примерно равен геному человека, имеется 60 пар хромосом. У шпорцевой лягушки содержится всего 18 хромосом, но даже самые маленькие из них больше, чем самые крупные хромосомы человека. У птиц, наоборот, число хромосом достигает 40 и более и все они очень небольшие по размерам. Таким образом, разнообразие хромосом в природе весьма велико.

С помощью световой микроскопии были определены размеры всех хромосом человека. Затем все неполовые хромосомы были пронумерованы по уменьшению размера — от 1 до 22. Половым хромосомам не присвоили номер, а назвали X и Y. Как показали более точные последующие исследования, хромосома 21 реально оказалась чуть меньше 22, однако нумерацию хромосом не изменили (чтобы не вносить путаницу). Различие в хромосомных наборах между мужчинами и женщинами состоит в том, что у женщин имеются две половые X-хромосомы (т. е. хромосомы во всех 23-х парах одинаковы), а у мужчин пару с X-хромосомой образует мужская половая хромосома — Y. Каждую хромосому можно рассматривать как отдельный том большого двадцатичетырехтомного собрания сочинений под названием Энциклопедия человека.

Половые клетки человека, в отличие от клеток тела взрослого организма (соматических клеток), содержат не 2 набора томов ДНКового текста, а всего лишь один. Перед зачатием каждая отдельная хромосома (отдельный том в Энциклопедии человека) сперматозоида отца и яйцеклетки матери состоят из смешанных в разном сочетании различных глав ДНКового текста их родителей. Любая из хромосом, полученная нами от отца, образовалась в его семенниках незадолго до того, как мы были зачаты. Ранее, за всю историю человечества, точно такая хромосома никогда не существовала. Она была сформирована в процессе случайного перемешивания, происходящего при делении, постепенно образуясь из объединяющихся друг с другом участков хромосом предков со стороны отца. Также обстоит дело и с хромосомами яйцеклеток, за исключением того, что они формируются в организме нашей матери задолго до нашего рождения (почти сразу после рождения самой матери).

В зиготе, образующейся в результате слияния сперматозоида и яйцеклетки, материнские и отцовские гены смешиваются и перетасовываются в разных сочетаниях. Это происходит в результате того, что хромосомы не остаются неизменными в поколениях — они вступают во взаимодействие со своей случайно встреченной парой, обмениваясь с ней материалом. Такой постоянно идущий процесс получил название рекомбинации. И следующему поколению часто достается уже гибридная хромосома — часть от дедушки и часть от бабушки. Далее в ряду поколений пути генов постоянно пересекаются и расходятся. В результате слияния уникальной яйцеклетки с уникальным сперматозоидом и возникает уникальный во всех отношениях геном. И в этом смысле все мы уникумы. Каждый человеческий индивид хранит уникальную генетическую информацию, состоящую из случайной комбинации разных вариантов генов.

Отдельный ген можно рассматривать как единицу, продолжающую существовать в ряду многочисленных поколений. И в этом смысле ген бессмертен! Существует даже такая оригинальная точка зрения, что не сами люди, а их гены правят миром, а каждый конкретный живой организм служит лишь временным прибежищем для них. Эта не бесспорная мысль принадлежит Ричарду Докинзу, автору книги «Эгоистичный ген». По его мнению, гены практически бессмертны в отличие от живых организмов, в которых они существуют. Некоторым генам десятки и даже сотни миллионов лет. Гены, пользуясь терминологией Докинза, делают все возможное, чтобы выжить. Приспосабливаются к жаре и холоду, выбирая себе местечко получше, мигрируют с помощью человека и вступают в новые комбинации. Человек оказался довольно непоседливым хозяином. За тысячи лет он сильно исколесил мир, распространяя свое присутствие, влияние и свою начинку — гены. (Подробнее с идеями и аргументацией Р. Докинза любознательный читатель может познакомиться в Приложении 1). Такая точка зрения далеко не бесспорна, и из дальнейшего изложения нам станет понятно, что гены — это в первую очередь не эгоисты, а трудоголики. Имеются гены — «сторожа» генома, гены — «дворники», гены — «повара» и гены — «домоуправители». Обеспечивая свое существование, они обеспечивают и существование нас.

Сразу после зачатия будущий человек представляет собой всего одну клетку (зиготу), наделенную одной исходной ДНКовой библиотекой, содержащей 46 томов. Среди 46 томов всегда 23 получены от отца, а другие 23 — от матери. Тексты 23 отцовских и 23 материнских томов хотя и очень сходны в целом, тем не менее отличаются в деталях. Например, в отцовском томе № 18 на странице 253 существует предложение-предписание (в виде гена), в котором сказано, что глаза у ребенка должны быть карими, а в этом же материнском томе на той же странице тоже написано о цвете глаз, но согласно этому тексту цвет должен быть голубыми. Первое указание более строгое (доминирующее), чем второе, и в результате у ребенка глаза будут иметь карий цвет. Ген, который диктует свои права, называют доминирующим, а тот, который уступает свои права, — рецессивным. Голубой цвет глаз имеют только те люди, у которых и в материнском, и в отцовском тексте содержатся рецессивные гены, в которых есть указание на голубоглазость. Затем зигота делится на две клетки, каждая из них вновь делится и так до появления миллиардов клеток. Схематически процесс деления клеток изображен на рис. 8.

При каждом делении клетки содержащиеся в библиотеках тома ДНКового текста точно копируются, причем практически без ошибок. Организм взрослого человека состоит в среднем из 1014 клеток. Например, в головном мозге и печени насчитывается примерно по 10 млрд. клеток, в иммунной системе — 300 млрд. клеток. В течение всей жизни человека в его организме происходит около 1016 клеточных делений. Клеточный состав многих органов за 70 лет жизни обновляется несколько раз. И каждая из этих клеток содержит одни и те же 46 томов ДНКового текста.

В конце 60-х годов XX века был осуществлен важный прорыв в исследовании хромосом. Обусловлен он был всего лишь тем, что для их окраски стали использовать специальное контрастное вещество — акрихин-иприт, а затем и другие сходные с ним соединения. Такая окраска позволила выявить внутри хромосом большое число разных субструктур, которые не обнаруживались под микроскопом без окрашивания. После окрашивания хромосом специфическим красителем Гимза-Романовского они выглядят как зебры: вдоль всей длины видны поперечные светлые и темные полосы, имеющие окраску разной интенсивности.

Рис. 8. Основные стадии клеточного цикла, приводящего к делению клетки

Эти полосы получили название хромосомных G-сегментов или полос (рис. 9). Картина сегментации сильно отличается у разных хромосом, но расположение хромосомных сегментов постоянно у каждой из хромосом во всех типах клеток человека.

Природа полос, выявляемых при окраске, до конца еще не ясна. Сейчас установлено только, что участки хромосом, соответствующие темным полосам (названные R-полосами), реплицируются раньше, чем светлые участки (названные G-полосами). Таким образом, полосатость хромосом скорее всего все же имеет некий до конца еще не понятый смысл.

Окрашивание хромосом очень облегчило их идентификацию, а в дальнейшем способствовало определению расположения на них генов (картированию генов).

Рис. 9. Специфические хромосомные G-сегменты, выявляемые при окраске хромосом человека, и система их обозначения согласно решению международной конференции в Париже в 1971 году. Цифрами под хромосомами указаны их номера. X и Y — половые хромосомы, p — короткое плечо, q — длинное плечо хромосом

Хотя детальные процессы, происходящие при окрашивании, еще не до конца ясны, очевидно, что картина окраски зависит от такого параметра, как увеличенное или уменьшенное содержание в отдельных полосах хромосом АТ или ГЦ-пар. И это еще одно общее сведение о геноме — он не однороден, в нем есть районы, обогащенные определенными парами нуклеотидов.

Это, в частности, может быть связано с повторяемостью некоторых типов нуклеотидных последовательностей ДНК в определенных районах.

Дифференциальная окраска хромосом нашла широкое применение для выявления и идентификации небольших индивидуальных изменений генома конкретного человека (полиморфизма), в частности, приводящих к различным патологиям. Примером этому может служить обнаружение так называемой филадельфийской хромосомы, встречающейся у больных с хроническим миелоидным лейкозом. С помощью окраски хромосом установлено, что у пациентов с этим заболеванием определенный фрагмент исчезает на хромосоме 21 и появляется на конце длинного плеча хромосомы 9 (перенос фрагмента или транслокация, сокращенно t). Генетики обозначают такое событие как t (9; 21). Таким образом, хромосомный анализ свидетельствует о том, что разные молекулы ДНК могут обмениваться между собой отдельными участками, в результате чего в геноме образуются «гибриды», состоящие из молекул ДНК разных хромосом. Анализ уже изученных свойств хромосом позволил сформировать представление о полиморфизме генома человека.

Для выяснения локализации отдельных генов на хромосомах (то есть картирования генов) используют целый арсенал специальных зачастую весьма сложных по замыслу и исполнению методов. Один из основных — молекулярная гибридизация (образование гибрида) гена или его фрагмента с фиксированными на твердой подложке препаратами хромосом, выделенными из клеток в чистом виде (это называют гибридизацией in situ). Суть метода гибридизации in situ заключается во взаимодействии (гибридизации) между денатурированными (расплетенными) нитями ДНК в хромосомах и комплементарными нуклеотидными последовательностями добавленных к препарату хромосом, индивидуальных однонитевых ДНК или РНК (их называют зондами). При наличии комплементарности между одной из нитей хромосомной ДНК и зондом между ними образуются довольно стабильные молекулярные гибриды. Зонды маркируют предварительно с помощью разных меток (радиоактивных, флуоресцентных или др.). Места образования гибридов на хромосомах выявляют по положению этих меток на препаратах хромосом. Так, еще до появления методов генной инженерии и секвенирования ДНК выяснили, например, расположение в геноме человека генов, кодирующих большие и малые рибосомные РНК (рРНК). Гены первых оказались локализованными в пяти разных хромосомах человека (13, 14, 15, 21 и 22), тогда как основная масса генов малой рРНК (5S РНК) сконцентрирована в одном месте на длинном плече хромосомы 1.

Пример картины, получаемой при гибридизации меченых флюоресцентным красителем генов-зондов, приведен на рис. 10 на цветной вклейке.

Рис. 10. Гибридизация хромосом человека с генами-зондами, мечеными красным и зеленым флюоресцентными красителями. Стрелками указано расположение соответствующих генов на концах двух разных хромосом (справа вверху дано увеличение картины гибридизующихся хромосом).

Гены, расположенные на одной хромосоме, определяют как сцепленные (связанные) гены. Если гены расположены на разных хромосомах, они наследуются независимо (независимая сегрегация). Когда же гены находятся на одной и той же хромосоме (т. е. сцеплены), они неспособны к независимой сегрегации. Изредка в половых клетках могут происходить различные изменения хромосом в результате рекомбинационных процессов между гомологичными хромосомами. Один из таких процессов получил название кроссинговера. Из-за кроссинговера сцепление между генами одной группы никогда не бывает полным. Чем ближе расположены друг к другу сцепленные гены, тем меньше вероятность изменения расположения таких генов у детей по сравнению с родителями. Измерение частоты рекомбинаций (кроссинговера) используется для установления линейного порядка генов на хромосоме внутри группы сцепления. Таким образом, при картировании хромосом первоначально устанавливают, находятся ли данные гены в одной и той же хромосоме, без уточнения, в какой именно. После того, как хотя бы один из генов данной группы сцепления локализуют в определенной хромосоме (например, с помощью гибридизации in situ), становится ясным, что все другие гены этой группы сцепления находятся в той же самой хромосоме.

Первым примером связи генов с определенными хромосомами может служить обнаружение сцепления определенных наследуемых признаков с половыми хромосомами. Чтобы доказать локализацию гена в мужской половой Y-хромосоме, достаточно показать, что данный признак всегда встречается только у мужчин и никогда не обнаруживается у женщин. Группа сцепления женской X-хромосомы однозначно характеризуется отсутствием наследуемых признаков, передающихся от отца к сыну, и наследованием признаков матери.

Особенно важным для изучения генома человека на первых этапах его исследования стал метод, называемый гибридизацией соматических клеток. При смешивании соматических (неполовых) клеток человека с клетками других видов животных (чаще всего для этой цели использовали клетки мышей или китайских хомячков) в присутствии определенных агентов может происходить слияние их ядер (гибридизация). При размножении таких гибридных клеток происходят потери некоторых хромосом. По счастливой для экспериментаторов случайности в гибридных клетках человек-мышь происходит потеря большей части хромосом человека. Далее отбираются гибриды, в которых остается только какая-нибудь одна человеческая хромосома. Исследования таких гибридов позволили связать некоторые биохимические признаки, свойственные клеткам человека, с определенными хромосомами человека. Постепенно благодаря использованию селективных сред научились добиваться сохранения или потери отдельных хромосом человека, несущих определенные гены. Схема отбора, хотя и не очень проста на первый взгляд, довольно хорошо показала себя в эксперименте. Так, придумали специальную селективную среду, на которой могут выживать только те клетки, в которых синтезируется фермент тимидинкиназа. Если для гибридизации с клетками человека взять в качестве партнера мутантные клетки мыши, не синтезирующие тимидинкиназу, то будут выживать только те гибриды, которые содержат хромосомы человека с геном тимидинкиназы. Таким путем впервые удалось установить локализацию гена тимидинкиназы на хромосоме 17 человека.

Несмотря на то, что изучение генома человека на уровне хромосом дало ряд важных его характеристик, они были самыми общими и дали относительно мало для полного понимания устройства и функционирования генетического аппарата человеческих клеток.

Более 800 000 книг и аудиокниг! 📚

Получи 2 месяца Литрес Подписки в подарок и наслаждайся неограниченным чтением

ПОЛУЧИТЬ ПОДАРОК