Преддверие влагалища, влагалище, шейка матки

Вагинальные выделения

Наличие вагинальных выделений устанавливают при осмотре вульвы. Цвет и характер выделений позволяют судить о причине их возникновения. Белая окраска выделений указывает на присутствие лейкоцитов, красная свидетельствует о присутствии крови, прозрачность указывает на практическое отсутствие слизи. Источником выделений могут являться половые органы или органы мочевыводящей системы.

Белесые выделения наблюдаются при следующих нарушениях:

• при препубертатной лейкорее, являющейся симптомом вагинита у молодых самок, который обычно проходит после первой течки;

• при вагините, связанном с наличием инородного тела во влагалище;

• при раннем метэструсе; выделения наблюдаются по окончании эструса (первый день метэструса) и в течение нескольких дней могут иметь гнойный характер;

• при пиометре, если открыта шейка матки;

• при цистите.

Красная окраска выделений указывает на:

• проэструс и обусловлена диапедезом крови из сосудов матки;

• эструс;

• персистенцию фолликулов;

• опухоли яичников, эстроген-секретирующие опухоли;

• трансмиссивную венерическую саркому;

• цистит;

• изъязвление влагалища в результате травмы;

• коагулопатию;

• инородное тело во влагалище;

• отслойку плаценты во время беременности;

• субинволюцию мест прикрепления плаценты.

Другие выделения:

• нормальные — прозрачные слизистые выделения коричневого оттенка;

• нормальные послеродовые — темно-зеленого оттенка;

• амниотическая жидкость — прозрачные водянистые выделения;

• при отсутствии родовой деятельности в связи с наличием единственного щенка — коричневые (со специфическим запахом);

• при мумификации плодов — густые, дегтеобразные, черные;

• при метрите — бурые.

Вагиноскопия

Вагиноскопию у сук проводят с помощью жесткого эндоскопа. Ауроскоп слишком короток для проведения исследования. Обследование шейки и краниальной части влагалища у сук связано с определенными трудностями, связанными с узостью краниальной части влагалища и с вентральным направлением шейки, кроме дорсального свода. Сужение репродуктивного тракта объясняется наличием поперечной постцервикальной складки, расположенной на дорсальной стенке влагалища на 2 см каудальнее шейки. Инспекцию шейки матки осуществляют с помощью узкого эндоскопа. Обследование в период метэструса и анэструса сопряжено с особенными трудностями, поскольку влагалище в это время (по сравнению с другими фазами цикла) становится уже, стенки его истончены. В течение эструса осмотру шейки могут препятствовать выраженные складки стенок влагалища.

Исследование влагалища у кошек затруднено в связи с его узостью, в частности на участке вестибуло-вагинального соединения.

Вагиноскопия позволяет обнаружить такие патологии влагалища, как перегородки, стриктуры, неоплазию и инородные тела, отобрать материал для биопсии, а также исследовать выделения, присутствующие в небольшом количестве в краниальной части влагалища, которые остаются на эндоскопе после его извлечения.

Вагинальная цитология

Применяется для определения фазы репродуктивного цикла, диагностирования воспалительных заболеваний влагалища и матки (при раскрытии шейки), трансмиссивной венерической саркомы.

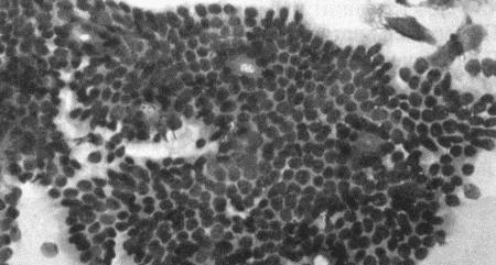
О повышении концентрации эстрогенов можно судить по таким изменениям, как гиперплазия и гипертрофия вагинального эпителия, ороговение и эксфолиация его клеток. Вагинальная цитология позволяет выявить характерные изменения, служащие индикатором активности этого гормона. На стадиях цикла, протекающих на фоне минимальной эстрогенной активности (анэструс, метэструс, препубертатный период), в вагинальных выделениях у сук преобладают парабазальные клетки (фиг 3.1), которые имеют округлые очертания и низкий объем цитоплазмы по отношению к ядру. Под влиянием эстрогенов развивается гипертрофия эпителиальных клеток влагалища, затрагивающая мелкие промежуточные клетки (они крупнее парабазальных, с округлыми очертаниями и относительно более высоким соотношением ядра к цитоплазме; фиг. 3.1–3.3), крупные промежуточные клетки (полигональные клетки с неповрежденным ядром; фиг. 3.3) и поверхностные клетки (сходные с крупными промежуточными клетками, но, как правило, безъядерные или с пикнотичным ядром; фиг. 3.4). Число поверхностных ороговевших безъядерных клеток возрастает в фазе проэструса, сохраняется постоянным в течение эструса (фиг. 3.4) и резко уменьшается к моменту его окончания. Стремительное сокращение (более чем на 20 %) количества этих клеток свидетельствует о наступлении первого дня метэструса (фиг. 3.2). Характерно, что к этому моменту вагинальные выделения просветляются и уже не содержат ни органических остатков, ни окрашенной слизи. Повышенное содержание лейкоцитов может указывать на наличие инфекции, а присутствие аномальных клеток — на опухолевый процесс. Повышенное содержание нейтрофилов, наблюдающееся в начале метэструса (фиг. 3.1 и 3.5), считается нормой и не является признаком патогенной инфекции.

Фиг. 3.1.

В мазке вагинальных выделений у суки в первый день метэструса преобладают мелкие промежуточные клетки, имеется небольшое количество парабазальных клеток и нейтрофилов (окрашивание мазка Diff-Quik®) (см. Приложение)

Фиг. 3.3.

Начало проэструса у суки. В мазке вагинальных выделений преобладают мелкие клетки, но присутствует небольшое количество крупных промежуточных клеток и эритроцитов (окрашивание мазка Diff-Quik®) (см. Приложение)

Фиг. 3.2.

В мазке вагинальных выделений у суки во второй день метэструса преобладают мелкие промежуточные клетки, обнаруживается небольшое количество парабазальных клеток (окрашивание мазка модифицированным Schorr's trichrome) (см. Приложение)

Фиг. 3.4.

Поверхностные клетки в мазке вагинальных выделений у суки в период эструса (окрашивание мазка Schorr's trichrome) (см. Приложение)

Фиг. 3.5.

Начало метэструса у суки. В мазке вагинальных выделений присутствуют нейтрофилы и мелкие промежуточные клетки (окрашивание мазка Diff-Quik®) (см. Приложение)

Аналогичные цитологические изменения наблюдаются и у кошек, хотя менее выражены и не сопровождаются характерными кровянистыми выделениями на стадии проэструса.

Вагинальная микробиология

Бактерии, способные в некоторых случаях вызывать нарушения репродуктивного цикла, могут присутствовать в составе нормальной флоры. Благодаря раскрытию шейки матки на стадии проэструса и эструса бактерии из влагалища проникают в матку. Таким образом, бактерии, обнаруженные в матке в ходе исследования, проведенного на стадии проэструса/эструса, представляют собой скорее микрофлору краниального участка влагалища, чем собственно матки. На этом основании результаты микробиологического исследования необходимо интерпретировать с учетом других симптомов инфекции репродуктивного тракта, например, наличия гнойных выделений или повышенного содержания лейкоцитов в вагинальном мазке. В микрофлоре влагалища обнаруживается множество различных организмов, содержание которых существенно повышается на стадии проэструса и эструса, однако единственным микробом, присутствие которого расценивается как патология, требующая лечения, является Brucella canis.

Фиг. 3.6.

Трансцервикальная катетеризация с введением эндоскопа в матку суки породы грейхаунд в период эструса

Фиг. 3.7.

Дегенеративные нейтрофилы в эндометриальном цитологическом образце, взятом у суки при пиометре (образец окрашен модифицированным Schorr's trichrome) (см. Приложение)

Фиг. 3.8.

Большие скопления нормальных эпителиальных клеток эндометрия в эндометриальном цитологическом образце, взятом у суки грейхаунда в начале ме-тэструса (образец окрашен Diff-Quik®) (Воспроизведено с разрешения из Journal of Small Animal Practice (1998) 39, 2–9) (см. Приложение)

Фиг. 3.9.

Эндометриальные клетки и макрофаги с пенистой цитоплазмой в эндометриальном цитологическом образце, взятом у суки грейхаунда за 46 дней до начала проэструса. Фаза анэструса у этой собаки продолжалась не менее 114 дней (образец окрашен Diff-Quik®) (Воспроизведено с разрешения из Journal of Small Animal Practice (1998) 39, 2–9) (см. Приложение)

Фиг. 3.10.

Сперматозоиды и эпителиальные клетки эндометрия в эндометриальном цитологическом образце, взятом у суки грейхаунда через 24 часа после вязки, проведенной на 5 день эструса (образец окрашен модифицированным Schorr's trichrome) (см. Приложение)

Фиг. 3.11.

Дегенеративные эпителиальные клетки эндометрия в эндометриальном цитологическом образце, взятом у суки грейхаунда в период слущивапия эндометрия после родов. Характерно, что многие клетки имеют пикнотические ядра и вакуолизированную цитоплазму (образец окрашен Diff-Quik®) (см. Приложение)

Другие бактерии — это нормальная или условно патогенная микрофлора. Влияние этой микрофлоры на вероятность развития эндометрита в фазе эструса не выявлено. Требование, чтобы вагинальные выделения были «чистыми», т. е. не содержали бактерий, которое зачастую выдвигают владельцы племенных кобелей перед вязкой, представляется необоснованным, поскольку присутствие микрофлоры является нормой и не указывает на наличие патогенных инфекций. Кроме того, флора, сходная с вагинальной, присутствует и в препуции самца. Тем не менее в подобных случаях представляется целесообразным составить детальный анамнез репродуктивной активности, провести исследование влагалища и анализ выделений, после чего выдать следующее заключение: «На основании данных анамнеза, клинического исследования, микробиологического и цитологического анализов вагинальных выделений можно утверждать, что патогенные инфекции в репродуктивном тракте данной суки не обнаружены, полученные результаты свидетельствуют о нормальной фертильности».

Вагинальная рентгенология

Позитивная контрастная рентгенография применяется для выявления перегородок, стриктур и опухолей. Рентгеноконтрастное вещество может проникать в матку только на стадии проэструса, эструса и в послеродовой период.

Более 800 000 книг и аудиокниг! 📚

Получи 2 месяца Литрес Подписки в подарок и наслаждайся неограниченным чтением

ПОЛУЧИТЬ ПОДАРОК