Приложение

Фиг. 1.3.

Эндоскопическое исследование слизистой влагалища. Динамика изменений на протяжении цикла: (а) проэтрус — розовая окраска и отечность; (b) начало эструса — слизистая бледнеет, отек начинает уменьшаться (обычно перед пиком ЛГ); (с) середина эструса — слизистая бледная, уменьшение отека (сморщивание) явно выражено, что соответствует середине фертильного периода; (d) начало метэструса — видны закругленные складки, при прикосновении слизистая смыкается, образуя розетку (е).

Фиг. 2.2.

Вагинальные выделения кошки (а). Выделения, типичные для фазы эструса. Большая часть клеток представляет собой безъядерные кератинизированные клетки или клетки с пикнотическим ядром. Присутствуют промежуточные клетки (b). Выделения, характерные для метэструса, — «течки», иногда наблюдаемой у кошек в конце эструса. Присутствуют поверхностные и промежуточные клетки, повышено содержание белыми кровяными тельцами. Этот короткий метэструс наблюдается в течение 24–48 часов.

Фиг. 3.1.

В мазке вагинальных выделений у суки в первый день метэструса преобладают мелкие промежуточные клетки, имеется небольшое количество парабазальных клеток и нейтрофилов (окрашивание мазка Diff-Quik®).

Фиг. 3.2.

В мазке вагинальных выделений у суки во второй день метэструса преобладают мелкие промежуточные клетки, обнаруживается небольшое количество парабазальных клеток (окрашивание мазка модифицированным Schorr's trichrome).

Фиг. 3.3.

Начало проэструса у суки. В мазке вагинальных выделений преобладают мелкие клетки, но присутствует небольшое количество крупных промежуточных клеток и эритроцитов (окрашивание мазка Diff-Quik®).

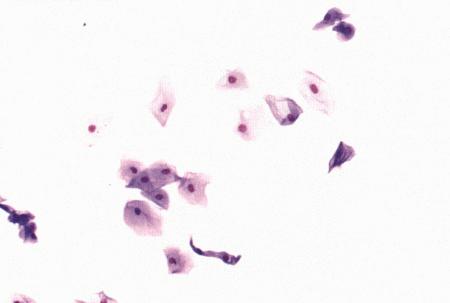
Фиг. 3.4.

Поверхностные клетки в мазке вагинальных выделений у суки в период эструса (окрашивание мазка Schorr's trichrome).

Фиг. 3.5.

Начало метэструса у суки. В мазке вагинальных выделений присутствуют нейтрофилы и мелкие промежуточные клетки (окрашивание мазка Diff-Quik®).

Фиг. 3.7.

Дегенеративные нейтрофилы в эндометриальном цитологическом образце, взятом у суки при пиометре (образец окрашен модифицированным Schorr's trichrome).

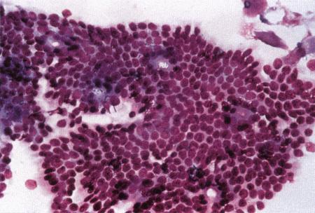
Фиг. 3.8.

Большие скопления нормальных эпителиальных клеток эндометрия в эндометриальном цитологическом образце, взятом у суки грейхаунда в начале метэструса (образец окрашен Diff-Quik®) (Воспроизведено с разрешения из Journal of Small Animal Practice (1998) 39, 2–9).

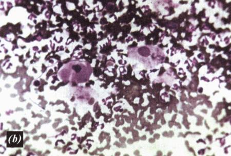
Фиг. 3.9.

Эндометриальные клетки и макрофаги с пенистой цитоплазмой в эндометриальном цитологическом образце, взятом у суки грейхаунда за 46 дней до начала проэструса. Фаза анэструса у этой собаки продолжалась не менее 114 дней (образец окрашен Diff-Quik®) (Воспроизведено с разрешения из Journal of Small Animal Practice (1998) 39, 2–9).

Фиг. 3.10.

Сперматозоиды и эпителиальные клетки эндометрия в эндометриальном цитологическом образце, взятом у суки грейхаунда через 24 часа после вязки, проведенной на 5-й день эструса (образец окрашен модифицированным Schorr's trichrome).

Фиг. 3.11.

Дегенеративные эпителиальные клетки эндометрия в эндометриальном цитологическом образце, взятом у суки грейхаунда в период слушивания эндометрия после родов. Характерно, что многие клетки имеют пикнотические ядра и вакуолизированную цитоплазму (образец окрашен Diff-Quik®).

Фиг. 4.1.

Цитология вагинальных выделений при расщепленной течке на 6-й день после начала проэструса. В мазке преобладают промежуточные и ядерные поверхностные клетки.

Фиг. 4.2.

Та же самая сука 7 дней спустя. Характер выделений соответствует анэструсу, концентрация прогестерона на базальном уровне. В мазке преобладают парабазальные и промежуточные клетки, выделения содержат значительное количество слизи. Через три недели характерные для проэструса кровянистые выделения возобновились, после чего имела место нормальная овуляция.

Фиг. 4.3.

Вагинальная цитология при экстремально коротком проэструсе у суки. Мазок взят на 12-й день после начала проэструса. Повышение концентрации прогестерона в плазме в сочетании с большим количеством полиморфноядерных лейкоцитов указывает на овуляцию, произошедшую приблизительно на 6-й день после начала проэструса.

Фиг. 4.4.

Репродуктивный тракт суки с параовариальными и маточными кистами. Характерно, что яичники содержат желтое тело.

Фиг. 4.5.

Вагинальная цитология суки с кистами яичников. Проэструс начался 34 дня назад. Выделения типичны для конца проэструса и содержат поверхностные клетки.

Фиг. 4.6.

Вагинальная цитология суки с синдромом сохранения ткани яичников; показана эстрогеновая стимуляция клеток в период, когда сука привлекательна для кобелей. Яичник удален позже с помощью лапаротомии.

Фиг. 4.7.

Вагинальная цитология 7-месячной суки с ювенильным вагинитом. Следует отметить большое количество полиморфноядерных лейкоцитов.

Фиг. 4.8.

Вагинальная цитология той же суки (см. фиг. 4. 7) 3 месяца спустя в период проэструса. Полное отсутствие полиморфноядерных лейкоцитов.

Фиг. 4.12.

Вагинальная гиперплазия с протрузией влагалища на 360 градусов. Фотография сделана в ходе эпизиотомии, предшествующей хирургическому удалению (с любезного разрешения Dr Martin Sullivan).

Фиг. 4.13.

Вагинальная гиперплазия с набухшим одиночным участком влагалища.

Фиг. 4.14.

Ткань, удаленная при резекции подслизистой при гиперплазии влагалища, изображенной на фиг. 4.12 (с любезного разрешения Dr Martin Sullivan).

Фиг. 4.15.

Яичники суки при пиометре (около 6 недель после течки). Характерно отсутствие желтых тел.

Фиг. 4.16.

Вагинальная цитология при открытой пиометре у суки. Большое количество дегенеративных полиморфноядерных лейкоцитов.

Фиг. 7.2.

(а) опухоль семенника у кобеля крипторха; (b, с) дерматологические нарушения, обусловленные опухолью.

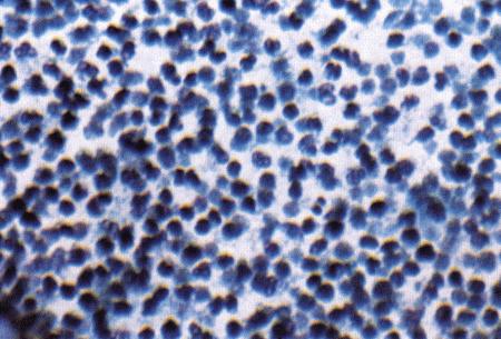
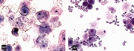
Фиг. 7.4.

(а, b) мазки секрета простаты при остром простатите у кобеля. Присутствует большое количество нейтрофилов, бактерий и разрушенных клеток.

Более 800 000 книг и аудиокниг! 📚

Получи 2 месяца Литрес Подписки в подарок и наслаждайся неограниченным чтением

ПОЛУЧИТЬ ПОДАРОК