Затерянные во времени
Один из самых необычных и хорошо исследованных случаев полной амнезии касается больного Н. М.[2] Он не помнил ничего из того, что происходило с ним в течение пятидесяти лет, прожитых им после операции на мозге, связанной с эпилепсией. Н. М. — настоящий Финеас Гейдж науки о памяти: как и Гейдж, он получил тяжелую травму, которая дала исследователям редкую возможность изучить, что происходит, когда полностью утрачены определенные, обычно хорошо защищенные участки мозга. Кроме того, его случай в очередной раз наглядно продемонстрировал, как важнейшие аспекты человеческой личности определяются бренной плотью.
В молодости Н. М. страдал тяжелой эпилепсией, и после безуспешных попыток бороться с ней другими способами было решено, что единственная надежда избавить больного от припадков и дать ему шанс на нормальную жизнь состоит в том, чтобы удалить те области мозга, в которых возникало неуправляемое возбуждение. На деле же (по причинам, которые в те времена никто не мог предугадать) результаты операции оказались катастрофическими.
Удаленные в обоих полушариях участки включали передние две трети гиппокампа, зону окружающей ткани размерами около 8 х 6 см и миндалину10.
По сути, когда Н. М. лег на операционный стол, время для него остановилось. Когда он пришел в себя после операции, оказалось, что все воспоминания последних двух лет v него стерлись. Он вполне нормально помнил все, что случилось с ним примерно до 25-летнего возраста, но дальше для него не было ничего. Само по себе это еще не было бы катастрофой: люди, перенесшие операции на мозге или получившие черепно-мозговые травмы, нередко страдают так называемой ретроградной амнезией, забывая события, предшествовавшие и сопутствовавшие операции или травме. Однако когда Н. М. восстановился после операции, стало ясно, что его беда гораздо серьезнее. Он не только не мог вспомнить ничего из недавнего прошлого, но и не мог запомнить ничего нового. Все, что становилось ему известно, запоминалось от силы на несколько минут, а затем изглаживалось из памяти.

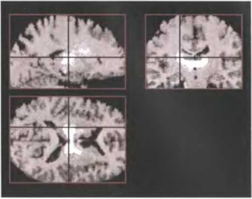
Результаты сканирования мозга человека, страдающего амнезией. Выделенные белым области, окружающие таламус, демонстрируют патологически сниженный приток крови. [Источник: Reed, L. J., et al. The thalamus in amnesia: structural and functional neuroimaging studies// Neuroimage 5: 4 (1997), S630.]
Попытайтесь представить себе, каково жить с таким недугом. В норме мы воспринимаем свое сознание как поток, движение во времени. Каждое мгновение состоит из комплекса ощущений, но сведения, связанные с этими ощущениями, сами по себе, вне потока, бессмысленны. Если бы ваш опыт ограничивался одним мгновением и вы не знали бы, что ему предшествовало, вы не имели бы представления, что происходит. Наши планы, действия, мысли — все это требует непрерывного восприятия. Даже для осознания себя как личности требуется знать, кем мы были мгновение назад, и еще мгновение назад.
Н. М. не ощущал непрерывности, которая позволяет большинству из нас осмыслять собственную жизнь. Он навсегда застрял в одном мгновении. Поток его жизни остановился, когда ему было двадцать пять, поэтому всю оставшуюся жизнь он ощущал себя 25-летним. Отвечая на вопросы, он называл себя молодым человеком. Он говорил о друзьях и браге, которые давно умерли, так, будто те еще живы. Когда ему предлагали посмотреть на себя в зеркало, на его лице отражался ужас при виде старика в отражении. Наверное, жестоко было его об этом просить, но в оправдание тех, кто это делал, можно сказать, что уже через несколько минут он совершенно забывал увиденное.
Мозг и ложь
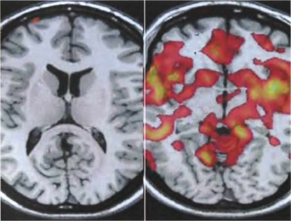
На приведенных здесь иллюстрациях (если верить создателям программы, с помощью которой они обработаны) видна разница между мозгом человека, говорящего правду (слева), и человека, который лжет (справа). Полагают, что дополнительная активность, наблюдаемая во втором случае, связана с дополнительными когнитивными усилиями, которые требуются для подавления естественного стремления рассказывать все как есть и для измышления правдоподобной лжи. Такие результаты позволяют предположить, что по умолчанию наш мозг настроен на то, чтобы говорить правду, а ложь представляет собой сложное усовершенствование, требующее постоянной доработки.

“Детекторы лжи”, основанные на методе ФМРТ, уже находят судебное применение, и, возможно, рано или поздно они полностью вытеснят полиграфы. Однако их использование по-прежнему вызывает массу споров, и некоторые люди настаивают на том, что лабораторные условия, в которых тестировались такие детекторы, не имеют никакого или почти никакого отношения к сложным, запутанным случаям из реальной жизни. Тем не менее стоит помнить о том, что традиционные способы определять, говорит человек правду или лжет (интуиция, суждения сторонних наблюдателей и полиграф), также довольно ненадежны [см.: Sip, К. Е., Roepstorff, A., McGregor, W., and C.D. Frith Detecting deception: the scope and limits // Trends in Cognitive Sciences 12: 2 (2008), pp. 48-53].
Верить или не верить
Человеческий мозг обращается с утверждениями, которые считает истинными, совсем не так, как с утверждениями, которые он считает ложными. Утверждения первого типа обычно влияют на направление дальнейших мыслей и действий, в то время как утверждения второго типа не принимаются во внимание. В ходе одного исследования была выявлена функциональная разница между “верящим” и “не верящим” мозгом. Участников эксперимента знакомили с множеством разнообразных утверждений и просили высказывать суждения, правда это или неправда.

В мозге человека, который верит тому, что ему говорят (вверху) активны области, ответственные за объединение эмоций и мыслей, а в мозге человека, который не верит (внизу), активируются края островка, расположенного на глубокой складке между лобной и височной долями Островок чувствителен к вещам, вызывающим у нас отвращение. Это заставляет предположить, что восприятие лжи мозгом во многом подобно восприятию нездоровых субстанций, которые наш организм отвергает11.
Судя по результатам сканирования нашего головного мозга, хотя в принятии решений о том, истинно или ложно утверждение, задействованы многие из высших когнитивных отделов головного мозга, окончательный выбор, похоже, остается за более примитивными отделами, связанными с эмоциями. К их числу относится передняя поясная кора — область, ответственная (в числе прочего) за объединение эмоциональных реакций с нашими мыслями и суждениями, а также кора островка — область, чувствительная к “отвратительности”. Участие в этих процессах островка заставляет предположить, что ложь может вызывать у нас подлинное отвращение.
В последние годы его редко просили принимать участие в исследованиях. Но за его долгую жизнь с ним успели поработать многие психологи, в подробностях изучившие его случай. Некоторые провели с ним не одну неделю, день за днем изучая особенности его недуга. Но каждое занятие с ним начиналось с одного и того же — со знакомства. С 1953 года он не познакомился ни с одним человеком, и ему пришлось провести многие годы в обществе не известных ему людей. Однако он никогда не выказывал признаков раздражения в ответ на постоянные просьбы выполнять всевозможные скучные задания, которые позволяют психологам так много узнавать о людях. Он чертил безотрывной линией выходы из лабиринтов, повторял слова, называл предметы. Для него тесты всегда были внове.

В числе участков мозга, удаленных у Н. М., был и гиппокамп. Вместе с ним пациент лишился прошлого.
Несмотря на то, что ни один тест не казался ему знакомым, а результаты, которые он демонстрировал при выполнении многих заданий, требующих работы памяти, неизменно оставались удручающими, некоторые задания с каждым разом давались ему все легче. Например, зеркальное письмо (способ письма, при котором человек смотрит не на свою руку, а на ее зеркальное отражение) мало у кого получается освоить сразу, но практика позволяет добиваться неплохих результатов. Н. М. смог неплохо овладеть этой техникой благодаря упражнениям. Но успехи, которые он демонстрировал в ходе последующих проверок, удивляли его самого, потому что он не помнил, что ему уже доводилось этим заниматься. Ему также удалось научиться играть на фортепиано новые мелодии, но он не помнил, как его им обучали12.
Все навыки, которыми ему удавалось овладеть, были связаны с работой процедурной памяти, в которой хранятся ответы на вопросы “как делать”, а не “что”. Его успехи были связаны с тем, что эта разновидность памяти хранится в другом месте — в системе, в которой участвуют мозжечок и подкорковая структура скорлупа, а эти отделы мозга остались у Н. М. нетронутыми. Механизм запоминания “как делать” обычно меньше подвержен дегенерации, чем район гиппокампа, и нередко продолжает работать у людей, страдающих тяжелыми формами потери памяти. При болезни Альцгеймера двигательные навыки, такие как умение играть в гольф или плавать баттерфляем, могут сохраняться даже после того, как вся остальная память исчезает.
Различия между типами памяти еще ярче проявляются при удивительном расстройстве, которое называют диссоциативной фугой. Для этого недуга характерна потеря эпизодической (личной) памяти, но сохранение семантической памяти (знания фактов). Диссоциативную фугу обожают сценаристы “мыльных опер”, где регулярно встречаются персонажи, спрашивающие “Кто я?” и не узнающие родных. В отличие от Н. Млюди, страдающие этим расстройством, обычно запоминают происходящее, все их прошлое по-прежнему хранится в памяти. Но они лишаются доступа к воспоминаниям. При этом иногда такие скрытые воспоминания могут проявляться вновь, совершенно неожиданно для больного. Например, американский священник Энсел Борн перенес период диссоциативной фуги, в течение которого называл себя именем Альберт Браун. “Альберт Браун” также был человеком набожным, и однажды в церкви, во время традиционного “обмена признаниями” между прихожанами, он в религиозном экстазе заговорил о вещах, которые были ему известны как Энселу Борну, хотя в остальном он не помнил ничего из своей прошлой жизни. Одна пациентка, также страдавшая потерей памяти, сумела найти свою семью, когда ее лечащий врач попросил ее набрать первый телефонный номер, который придет ей в голову. Она, сама того не сознавая, набрала номер своей матери13.
Психологическая или физическая травма может вызывать у человека потерю памяти, затрагивающую только событие, ставшее причиной травмы, и какой-либо промежуток времени, включающий момент этого события. Аномальная активность мозга, приводящая к развитию диссоциативной фуги, связана с работой лимбической системы, особенно гиппокампа и миндалины. Это выяснилось в ходе томографического исследования 22-летней пациентки, которая не помнила ничего из происходившего с ней в течение четырех лет, предшествовавших событию, вызвавшему тяжелую психологическую травму. Она говорила, что смутно, как во сне, помнит, что ее похитил и изнасиловал человек в маске, но не была уверена, что это не ложное воспоминание. Исследователи показывали ей ряд фотографий, среди которых были фотографии ее школьных друзей, с которыми она общалась еще до выпавшего из памяти четырехлетнего периода, университетских друзей, с которыми она познакомилась в течение этого периода, и совершенно незнакомых ей людей. Она узнавала школьных друзей и не узнавала университетских. Полученные с помощью ФМРТ результаты показали, что при виде школьных друзей у пациентки происходила нормальная активация гиппокампа и миндалины (отделов, отвечающих, в частности, за воспоминания о знакомых людях), но при виде университетских друзей активация тех же областей была слабой и неотличимой от реакции на фотографии незнакомцев14.
Другой случай подобного рода произошел с мужчиной, которому шел пятый десяток. После инсульта он полностью забыл предыдущие девятнадцать лет своей жизни — период, в течение которого с ним произошло немало неприятностей. Сканирование мозга показало, что когда он смотрел на фотоснимки того времени, запечатлевшие события, свидетелем которых он был, участки мозга, ответственные за первые этапы извлечения из памяти автобиографических данных, демонстрировали нормальную активность. Однако активность отделов мозга, задействованных в последующих этапах, в ходе которых элементы воспоминаний составляются вместе и события восстанавливаются в сознании, оказалась пониженной. Мозг пациента просто не хотел восстанавливать эти события, потому что они ассоциировались со слишком тяжелыми страданиями15.

По мере развития болезни Альцгеймера мозг сморщивается и уменьшается в размерах. Здоровый мозг [слева) и мозг человека с ярко выраженными симптомами болезни Альцгеймера (справа).
Результаты этого исследования заставляют предположить, что отключение воспоминаний при подобных расстройствах происходит на сравнительно ранних этапах обработки хранящихся в памяти данных, задолго до того, как результаты этой обработки достигают сознания.
В состоянии диссоциативной фуги люди, судя по всему, нередко сохраняют бессознательные воспоминания о случившемся. Например, один мужчина, жертва гомосексуального насилия, пришел в состояние глубокой депрессии и даже пытался покои чить с собой после того, как в ходе теста Роршаха ему показали карточку с изображением, часто интерпретируемым как нападение одним человеком на другого сзади. Одна женщина, также жертва нас и шя, при шла в крайнее нервное возбуждение, когда ее привели на место преступления, хотя сознательно она этого места не узнала. Там была дорожка, вымощенная кирпичами, и еще до возвращения на это место женщина говорила, что слова “кирпичи” и “дорожка” то и дело всплывают у нее в сознании16.
Бессознательные воспоминания (их также называют скрытыми) играют огромную роль во всех сферах нашей жизни. Например, специалист по социальной психологии Роберт Зайонц выяснил, что люди обычно предпочитают вещи, виденные ими ранее, даже если они не помнят, что видели эти вещи. Наша реакция на других людей также зависит от того, видели ли мы их прежде, даже если мы не помним, что уже встречались. В ходе эксперимента испытуемым показывали ряд лиц, менявшихся настолько быстро, что они не могли по-настоящему отложиться в памяти. После этого испытуемых попросили распределить по степени привлекательности другой набор лиц, в числе которых были как те, которые им только что показывали, так и новые. Хотя участники эксперимента не помнили только что показанные лица, они неизменно оценивали эти лица как более привлекательные, чем те, которые видели впервые. В усложненном варианте того же эксперимента некоторые из тех же испытуемых должны были вместе с двумя другими людьми, А и Б, решать, мужского или женского пола автор того или иного стихотворения. На самом деле выбор задания не имел для эксперимента особого значения. Важно было то, что лицо А, в отличие от лица Б, испытуемый только что видел (хотя и мельком). Испытуемые не помнили, что видели А, но когда (по предварительной договоренности с экспериментаторами) А и Б не соглашались друг с другом по поводу пола одного из авторов, оставляя решающий голос за испытуемым, испытуемые всегда принимали сторону человека, лицо которого мелькало перед глазами ранее.
Психологи называют бессознательное распознавание стимулов праймингом, а сами такие стимулы (в данном случае — быстро мелькающие лица) — праймами. Как показали вышеописанные эксперименты, приятные или нейтральные праймы обычно обладают для нас дополнительной привлекательностью. Но неприятные праймы могут вызывать у людей страх или агрессию, причины которых остаются самому человеку непонятными.
Скрытые воспоминания, связанные со страхом, записываются не в коре больших полушарий, а в миндалине, и в некоторых случаях их при всем желании нельзя сознательно извлечь из памяти, потому что активность коры обычно как раз подавляет, а не активирует работу миндалины. Возможно, именно поэтому воспоминания, связанные с психологическими травмами, нередко всплывают в сознании именно тогда, когда человек расслабляется и позволяет мыслям блуждать, как это бывает при использовании психоаналитического метода свободной ассоциации. Данный вывод имеет принципиальное значение для споров о том, какие именно воспоминания позволяет выявлять данный метод. Некоторые оказываются ложными, но это не значит, что ложны все подобные воспоминания. Воспоминания, сохранившиеся в коре в отрывочном виде, но неизгладимо запечатлевшиеся в миндалине, могут надолго оставаться скрытыми. Об этом свидетельствуют результаты недавнего исследования, в котором приняли участие 129 женщин — жертв сексуального насилия (это было достоверно известно). Из них 16 % утверждали, что на каком-то этапе совершенно забывали о том, что с ними произошло, и воспоминания о случившемся вернулись впоследствии17. Во многих случаях эти воспоминания были отрывочными и имели вид всплывающих в памяти ярких образов, подобных тем, что наблюдаются при посттравматическом стрессовом расстройстве. Из этого следует, что данные воспоминания, по-видимому, хранились в миндалине, а не в коре больших полушарий.
В подобных случаях хранящиеся в коре сознательные воспоминания о событиях, с которыми связана психологическая травма, могут быть труднодоступными, потому что записываются аномальным способом. Показано, что продолжительный стресс оказывает влияние на работу гиппокампа. У ветеранов войны во Вьетнаме, страдавших от посттравматического стрессового расстройства (применительно к подобным случаям называемого также военным неврозом), было обнаружено на 8 % меньше ткани гиппокампа, чем у ветеранов той же войны, этим недугом не страдавших. В ходе еще одного исследования было установлено, что объем ткани гиппокампа у людей, в детстве совращенных или пострадавших от жестокого обращения, был на 12 % ниже нормы. Было также показано, что этим людям свойственны нарушения памяти, касающиеся как самих событий, вызывавших у них психологическую травму, так и других, позднейших событий18.
Повреждения гиппокампа, наблюдаемые у людей, получивших тяжелые психологические травмы, возникают, по-видимому, в результате длительного повышения уровня гормонов стресса. Как мы знаем, непродолжительный всплеск уровня этих гормонов способствует формированию воспоминаний. Но постоянное действие этих гормонов на мозг, судя по всему, может вызывать повреждения гиппокампа, приводящие к пагубным последствиям для вызова воспоминаний в сознании и консолидации памяти.
Высказывалось предположение, что полученные в детстве психологические травмы могут также приводить к распределению воспоминаний по нескольким разным отделам. В результате складывается впечатление, что в мозге сосуществуют две или более личности (так называемое расстройство множественной личности, диссоциативное расстройство идентичности). Первый известный случай такого расстройства описан в 1817 году, но широкую известность этот недуг приобрел только в 1957 году, когда вышел фильм “Три лица Евы”, в основу которого лег реальный клинический случай. В то время даже те, кто признавал существование данного расстройства, считали его крайне редким. Однако сейчас некоторые врачи утверждают, что расстройством множественной личности страдает до 1 % населения США.
Расстройство множественной личности составляет еще один предмет серьезных разногласий среди профессионалов (впрочем, и у публики также). Одни психиатры считают, что это просто выдумка, мнимое расстройство, существующее лишь в бурном воображении некоторых пациентов и сговорившихся с ними врачей. Другие признают реальность данного расстройства и полагают, что оно обладает четкой этиологией и отличается характерными физиологическими признаками. В 90-х годах XX века оно вызывало немало споров, потому что считалось связанным почти исключительно с совращением в детском возрасте. С тех пор интерес к расстройству множественной личности, как и к другим диссоциативным расстройствам, несколько ослабел19.
К числу диссоциативных расстройств относят целый ряд недугов, для которых характерно отрывочное восприятие окружающего. При этом некоторые ощущения, которые в норме были бы осознанными, подавляются и не достигают сознания. Всем нам свойственно частично “редактировать” свой жизненный опыт. Если бы мы этого не делали, нас переполняли бы всевозможные впечатления, чувства, мысли и эмоции, которые постоянно у нас возникают, и мы не смогли бы нормально функционировать. Сознательно сильно сужая свое восприятие, мы можем, например, подавлять чувство голода, когда срочно нужно закончить работу, или забывать на время о других проблемах, когда нужно отправить детей в школу. Даже крайние формы диссоциации в некоторых случаях оказываются полезными. Например, врачам или медсестрам нередко приходится подавлять в себе чувства сострадания и отвращения, чтобы как следует выполнять свои обязанности. Если бы при виде страданий пациента их всякий раз переполняла жалость, им было бы сложнее ему помочь. Но иногда механизм диссоциации заходит слишком далеко, например, действуя постоянно (в результате врач может полностью утратить чувство жалости, не проявляя его даже в свободное от работы время) или не допуская в сознание ощущения, о которых нам следовало бы знать.
В расстройстве множественной личности, как и в диссоциативной фуге, задействован механизм, осуществляющий “нарезку” воспоминаний, из-за которой человек лишается доступа к некоторой части сведений из собственной автобиографической “базы данных”, почти целиком доступной большинству из нас.
При диссоциативной фуге эта часть относится к определенному промежутку времени, который обычно предшествует событию, вызывавшему психологическую травму. При расстройстве множественной личности происходит разделение воспоминаний, связанных с восприятием самого себя, по разным отделам памяти, не доступным одновременно. В результате человек никогда не воспринимает свою личность цельно, и все его автобиографические воспоминания разбирают две или более “личности”. Каждая представляет собой какую-то часть настоящей личности: инфантильную, озлобленную, “мужскую” и так далее, и каждая из них ничего не знает о других и не имеет осознанной связи с ними. больной может незаметно переключаться с одной “личиости” на другую, сообщая разное о своем имени, возрасте и биографии и демонстрируя разные особенности характера20.
Конфигурации нейронной активности, проявляющиеся при функциональной томографии мозга пациентов, страдающих расстройством множественной личности, указывают на то, что разнообразные “альтер-эго” этих пациентов есть нечто большее, чем образы действий. Когда одна форма поведения сменяется другой, соответствующим образом меняется и характер нейронной активности. При анализе результатов можно видеть даже переключение на иные воспоминания, доступные для другой “личности”.
В одном подобном исследовании участвовали одиннадцать женщин, каждой из которых были свойственны два разных состояния, проявляющиеся в манере поведения. В одном из таких состояний каждая из испытуемых помнила определенные события из своего детства, вызвавшие у нее психологическую травму, а в другом отрицала, что помнит их. Исследователи сканировали мозг испытуемой, одновременно воспроизводя аудиозаписи того, как другой человек зачитывал вслух текст ее собственных воспоминаний, записанных ранее с ее слов. В одной из таких записей описывались события, вызвавшие психологическую травму. Когда испытуемая находилась в состоянии “нетравмированной личности”, те части ее мозга, которые могли бы отреагировать на напоминание о тяжелом эпизоде, оставались неактивными. Иными словами, испытуемая воспринимала сведения об этом событии так, будто оно произошло с другим. Когда же она переключалась на “травмированную личность”, рассказ о том же событии вызывал бурную активность в отделах мозга, связанных с самосознанием. В этом состоянии мозг не только воспринимал услышанное, но и вспоминал это. Как и можно было заключить из поведения этих женщин, каждая из их “личностей” обладала собственными автобиографическими представлениями21.
В другом исследовании участвовала женщина 47 лет, которая могла переключаться с одной “личности” на другую чуть ли не по команде. Во время такого переключения часть ее мозга, ответственная за работу памяти, ненадолго отключалась, как бы перекрывая доступ к одному набору воспоминаний, прежде чем обратиться к другому22. Третье исследование показало, что когерентность энцефалограммы (показатель синхронности возбуждения нейронов) у пациентов, страдающих данным расстройством, существенно различается в зависимости от действующей “личности”. Этот результат указывает на то, что в разных состояниях испытуемые мыслили и чувствовали по-разному23. Подобные изменения не наблюдались ни у актеров, которые пытались изображать расстройство множественной личности, ни у самих пациентов, когда их просили сделать вид, что у них происходит смена “личностей”. Разные “альтер-эго” не только ведут себя по-разному: им свойственны разные мысли, чувства и воспоминания.
Более 800 000 книг и аудиокниг! 📚
Получи 2 месяца Литрес Подписки в подарок и наслаждайся неограниченным чтением
ПОЛУЧИТЬ ПОДАРОК