Распирающие меня позывы... возникли в животе, а затем за одну или две секунды прошли через грудь и достигли рта, горла и голосовых связок, и у меня началась какая-то словесная рвота. Я предположил [в разговоре с персоналом больницы], что механизм работы моего невольного стремления [выкрикивать непристойности] мог частично обеспечиваться теми же нейронными сетями, которые служат для чихания, потому что мои позывы и даже сопровождавшие их мысли полностью исчезали, когда я зажимал нос. Но это предположение сочли неуместным... предполагалось, что все дело в мотивации, и если я смогу излить свой гнев, проблема исчезнет.
Питер Чедуик, психолог, ранее страдавший синдромом Туретта1
Люди, страдающие тяжелыми формами синдрома Туретта, могут создавать вокруг себя безлюдную зону даже на запруженной толпой улице. Во время ходьбы их мотает из стороны в сторону, лица искажаются, а изо рта льются потоки странных звуков: лая, непристойностей, обрывков фраз. Зеваки пялятся на них, дети провожают смехом, а иногда кое-кто отвечает на их ругань руганью, но большинство прохожих спешит с озабоченным видом отойти в сторону.
Если такие случайные встречи вызывают у вас неловкое чувство, попробуйте представить себе, каково приходится самим людям, страдающим синдромом Туретта. Большинство их обладает интеллектуальными способностями на уровне нормы или выше, и им часто приходится страдать от осознания смехотворности или оскорбительности собственного поведения. Особо неприятная форма этого синдрома сопровождается копролалией (невольным выкрикиванием неприличных слов), активнее всего побуждающей людей избегать таких больных. Некоторые пациенты могут контролировать симптомы своего заболевания, полностью сосредоточиваясь на какой-нибудь умственной деятельности (около десятка человек, страдающих синдромом Туретта, работают хирургами, и вполне успешно). Однако когда они перестают себя сдерживать или испытывают эмоциональное возбуждение, их судорожные подергивания, нечеловеческие звуки и непроизвольные ругательства вновь всплывают из бессознательных глубин мозга.

Этот синдром, названный в честь французского врача Жоржа Жиля де ла Туретта, встречался задолго до XIX века. Несколько средневековых источников, описывающих людей, считавшихся одержимыми бесами, указывают симптомы этого недуга. Гораздо позднее психоаналитики-фрейдисты стали трактовать синдром Туретта как нагляднейшую демонстрацию того, что происходит при подавлении гнева: “Посмотрите! Гнев требует выхода!” В связи с этим их методы лечения были направлены на выяснение “первопричин” предполагаемого гнева или поощрение пациента к более откровенным проявлениям такого гнева. Подобное лечение ничуть не помогало, а нередко и приводило к ухудшению состояния больного, но никто и не думал отказываться от таких методов (более того, как пришлось узнать Питеру Чедуику, они практикуются и сейчас).
Авторитет теории, объясняющей синдром Туретта подавлением гнева, подорвало в бо-х годах XX века открытие препарата, сильно облегчающего симптомы этого недуга, а в некоторых случаях полностью избавляющего от них. Оказалось, что этот препарат связывается с рецепторами, расположенными на поверхности некоторых нейронов и обеспечивающими их чувствительность к нейромедиатору дофамину. Подходя к рецептору, подобно дофамину, как ключ к замку, данный препарат мешает дофамину его активировать, и торможение активности подобных нейронов позволяет ослаблять или полностью прекращать возникающие у пациента тики. Медики склоняются к признанию синдрома Туретта одним из целого ряда психических расстройств, связанных с нарушениями работы сложной биохимической системы, обеспечивающей реализацию побуждений, необходимых для нашего существования.
Главная функция головного мозга состоит в поддержании жизни и репродуктивных функций организма. Все остальные трюки нашего мозга, такие как способность наслаждаться музыкой, влюбляться или создавать единую теорию Вселенной, возникают на основе этого важнейшего стремления. Поэтому не так уж странно, что значительная доля структур и функций мозга предназначена для обеспечения постоянной работы других частей тела, требуемой для поиска пищи, половых партнеров, укрытий и других жизненно важных вещей.
Мозг делает это с помощью сложной системы, действующей по принципу кнута и пряника. Ее функционирование включает три основных этапа. Во-первых, в ответ на соответствующий стимул мозг создает побуждение, требующее удовлетворения. Например, если стимулом служит падение уровня глюкозы в крови, то побуждением будет голод, а если стимул будет половым, то в роли побуждения выступит половое влечение. Стимулы более сложные, такие как социальная изоляция или отрыв от знакомого окружения, могут вызывать не столь легко определимые влечения, например стремление к социализации или тоску по дому. Какую бы форму они ни принимали, нередко они сопровождаются ощущением “пустоты”. Эта пустота может напоминать пустоту в буквальном смысле, как в случае “пустого” желудка, а может быть чем-то не столь отчетливым, как в случае чувства душевной опустошенности. Так или иначе, функция этого чувства одна — побудить нас к действиям.
Во-вторых, действие, вызываемое первым этапом (например, прием пищи, секс, возвращение домой или общение), вознаграждается положительным ощущением удовольствия. Заметьте, что вознаграждается прежде всего действие, а не просто еда, половой акт или нахождение дома. Когда в кровь поступают питательные вещества, это поддерживает в нас жизнь, но не дает такого же удовольствия, как приготовление, сервировка, пережевывание и глотание пищи. Именно поэтому многие жизненно важные функции обрастают всевозможными ритуалами. Приготовление к праздничному обеду, ухаживание за будущим половым партнером, дорога домой — все это не просто неизбежные сопутствующие обстоятельства, а именно то, что позволяет нам радоваться жизни.
В-третьих, после завершения действия на место прилива удовольствия приходит чувство удовлетворения — исполнения наших желаний, как бы заполняющих связанную с ними пустоту.
На протяжении большей части времени эта система работает гладко, создавая циклы “желание — действие — удовлетворение”, направляющие наше поведение и задающие фоновый ритм повседневной жизни. Мы чувствуем голод, когда организму начинает не хватать “топлива”, затем едим, что доставляет нам удовольствие, чувствуем насыщение, и это умиротворяющее чувство сохраняется у нас до тех пор, пока организму снова не понадобится “топливо”. Но иногда (и даже довольно часто) система дает сбои. Либо наши побуждения перестают приводить к совершению соответствующих действий, либо нормальных действий оказывается недостаточно для удовлетворения наших влечений.
Сбои первого типа могут приводить к катастрофическим последствиям. На чисто механическом уровне у человека может нарушаться способность совершать преднамеренные движения, что приводит к ограничению физической подвижности, как это бывает при болезни Паркинсона и других двигательных расстройствах. Когда нарушения касаются высших отделов мозга, их последствия могут, не столь бросаясь в глаза, затруднять нам жизнь. Например, если человек теряет побуждение к самозащите или если эта естественная склонность подавляется другим, более сильным стремлением (скажем, покорить гору или победить в спортивном состязании), он начинает казаться безрассудным и может наносить себе увечья. Если человек утрачивает склонность к чистоте, это может пагубно сказаться на его здоровье. Если лишается ощущения голода или подавляет его бессознательным отрицанием, он может умереть от недоедания.
Если побуждения становятся, напротив, неудовлетворимыми, мы также начинаем вести себя ненормально. Нескончаемые требования организма заставляют человека вновь и вновь повторять действия, приносящие хоть какое-то облегчение: объедаться, заниматься сексом при всякой возможности или выполнять навязчивые ритуалы, до изнеможения моя руки, проверяя, закрыты ли двери, болтая без умолку, но все же не утоляя голод, половое влечение или страх.
Тики, связанные с синдромом Туретта, относятся именно к таким непроизвольным действиям. Каждое из наблюдаемых при этом подергиваний представляет собой искаженный отголосок того или иного изначально осмысленного навыка, вызываемый всплесками активности в одной из бессознательных областей мозга — так называемой скорлупе. Она входит в состав сложного, запутанного узла ядер, из которых состоят базальные ганглии, расположенные в глубине мозга. Функция скорлупы заключается в том, что она присматривает за машинальными движениями (выученными путем повторения) и обеспечивает работу, не требующую усилий сознательных областей мозга. Это позволяет сознанию сосредоточиться на делах посерьезнее, таких как направление подобных движений и освоение новых. Например, верчением педалей при езде на велосипеде (у достаточно опытного велосипедиста) управляет именно скорлупа, в то время как движениями, требуемыми для исполнения нового сложного танца, управляют другие области мозга.
У здоровых людей эти небольшие спазмы двигательной активности еще до их проявления подавляют расположенные в соседних участках мозга нейроны, способные тормозить вспышки непроизвольной активности, но у людей, страдающих синдромом Туретта, торможение не срабатывает, и они непроизвольно совершают различные действия.

На томограммах головного мозга пациентов, страдающих синдромом Туретта, обычно видна существенно сниженная активность в трех областях мозга: а) дорсолатеральной префронтальной коре, ответственной за произведение уместных действий, б) левых базальных ганглиях, участвующих в управлении машинальными движениями, в) передней поясной коре, помогающей нам концентрировать на своих действиях внимание. Недостаток активности в этих областях приводит к тому, что наружу “прорываются” обрывки неуместных действий — нервные тики. [Источник: Moriarty, J., et a I. Brain perfusion abnormalities in Gilles de la Tourette’s syndrome // British Journal of Psychiatry 167: 2 (1995), pp. 249-254.] У пациентов, страдающих синдромом Туретта, в этих и некоторых других областях мозга обнаруживаются меньшие объемы ткани, чем у здоровых людей, что может быть связано с нарушениями нормального развития определенных нейронных путей2.
У некоторых детей симптомы, подобные синдрому Туретта, начинались или усугублялись после перенесенного инфекционного заболевания. Согласно одной теории, некоторые бактерии способны вызывать у человека аутоиммунные расстройства, в результате которых собственная иммунная система избирательно уничтожает тормозные нейроны полосатого тела (стриатума). Эти расстройства получили собирательное название ПАНДАС (PANDAS, pediatric autoimmune neuropsychiatric disorders associated with streptococcal infection — детские аутоиммунные нервно-психические расстройства, связанные со стрептококковыми инфекциями). К сожалению, более чем за десять лет ученым пока так и не удалось выяснить, сами ли инфекции вызывают синдром Туретта либо они представляют собой лишь одну из причин, приводящих к его развитию3. Большинство людей, страдающих синдромом Туретта, могут замечать признаки, предвещающие непроизвольные движения, и усилием воли подавлять такие движения4. Однако подавление тиков не позволяет от них избавиться. Пока позывы, вызывающие тик, не преобразуются в соответствующее движение, они продолжают с возрастающей силой биться о стены сознания, неотступно требуя удовлетворения.
Один пациент, страдающий от сложных подергиваний плеча и челюсти, обычно повторяющихся с частотой около пяти раз в минуту, рассказывал: “Если нужно, я могу удерживать тик в течение нескольких минут или даже часа. Когда я знакомлюсь с человеком или делаю что-нибудь очень важное, я могу в течение некоторого времени выглядеть вполне здоровым. Но когда я перестаю напрягаться, мне приходится пережидать периоды учащенного тика. Для этого я обычно запираюсь минут на десять в ванной. Мне говорят: ‘Если ты можешь эти движения контролировать, почему ты их вообще совершаешь?’ Я отвечаю, что это как с задержкой дыхания: его можно ненадолго задержать, после чего все равно придется дышать, и какое-то время уйдет на то, чтобы отдышаться”5.

Выкрики и другие странные звуки, издаваемые пациентами, страдающими синдромом Туретта, вызываются гиперактивностью еще в одной части системы дофаминовых проводящих путей, связывающих бессознательные области мозга с сознательными. Эта гиперактивность затрагивает речевые зоны височной доли. Выкрикиваемые слова, судя по всему, представляют собой обрывки каких-то давно забытых фраз. Оливер Сакс в своей книге “Антрополог на Марсе” описывает страдавшего синдромом Туретта хирурга, который то и дело выкрикивал: “Привет, Патти!” — а также: “ужасно”. Патти было имя его бывшей девушки, но больной понятия не имел, почему именно это засело ) него в мозге так крепко, что он невольно повторял фразу на протяжении многих лет после расставания с ней. Историю слова “ужасно” выяснить не удалось. Возможно, больной некогда слышал его при каких-то особых обстоятельствах, и невольное повторение этого слова привело к тому, что оно одно осталось в памяти как след давно выветрившихся воспоминаний.

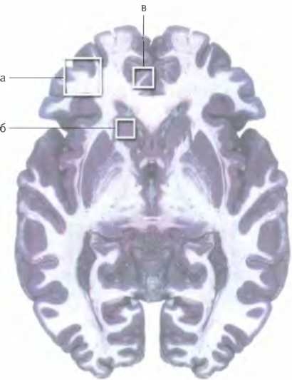
Моторными навыками, такими как езда на велосипеде, управляет скорлупа (а) — одна из структур бессознательной лимбической системы. Скорлупа соединена сложной системой связей с премоторной корой (б), входящей в состав сознательной части мозга и вырабатывающей побуждения к движению. Стимуляция скорлупы приводит к тому, что она передает сигнал в премоторную кору, которая, в свою очередь, передает сигнал “двигай” в прилегающую область моторной коры (в). Затем моторная кора посылает сигналы в соответствующие мышцы, вызывая их сокращение. При синдроме Туретта скорлупа гиперактивна, что приводит к регулярной неуместной реализации фрагментов давно освоенных навыков.
Когда люди, страдающие обсессивно-компульсивным расстройством, оказываются в ситуациях, вызывающих беспокойство, у них в мозгу может запускаться определенный цикл нейронной активности. Он проходит от хвостатого ядра (а), вызывающего побуждение “сделай что-нибудь”, к орбитальной префронтальной коре (б), создающей ощущение “что-то не так”, а затем обратно через поясную кору (в), удерживающую внимание на чувстве беспокойства.
Может показаться, что синдром Туретта с его бросающимися в глаза проявлениями, порой включающими весьма экстравагантное поведение, не имеет ничего общего с далеко не столь явными муками больных, страдающих обсессивно-компульсивным расстройством (ОКР). Однако в последнее время выяснилось, что эти два недуга представляют собой разные проявления одного и того же биологического нарушения. ОКР сопровождается более сложными побуждениями, чем синдром Туретта. Больному нестерпимо хочется не выкрикивать какое-либо слово или двигать определенным образом той или иной частью тела, а раз за разом прокручивать сложные последовательности действий, подавляя тем самым неотступное чувство беспокойства или сомнения.
Эти действия могут быть чисто мыслительными, а могут и включать непростые поведенческие ритуалы. Часто они связаны со счетом. Пациентка рассказывала: “Во время еды мне приходится перед каждым глотком считать до семи. Если, пока у меня набит рот, мне задают какой-нибудь вопрос, я не могу на него ответить, пока не досчитаю до семи и не проглочу пищу. Если же я пытаюсь проглотить, не досчитав, я начинаю давиться. А если собьюсь со счета, мне приходится выплевывать еду, снова считать до семи и только после этого продолжать есть”6.
Другой пациент, страдавший ОКР, был зациклен на цифре 4. Он стремился складывать одеяло вчетверо, доходить до двери за четыре шага, чистить зубы четырехкратно повторяемыми движениями, и так далее. Он панически боялся нечетных чисел. Однажды девушка призналась ему в любви. Он не был уверен, что испытывает к ней те же чувства, но ее слова “словно висели в воздухе... как большая единица”, поэтому он сказал, что тоже любит ее. Возможно, это было сказано недостаточно убедительно, поэтому девушка повторила: “Я люблю тебя”. Но теперь, разумеется, эти слова повисли в воздухе как огромная тройка, и ему пришлось повторить их еще раз, чтобы получилось четыре. Тогда девушка сказала, что хочет выйти за него замуж, и это ее предложение вызвало новый каскад взаимных уверений7.
К числу других мысленных компульсивных побуждений относятся склонность думать о каком-либо предмете, почти не думая ни о чем другом, многократное прокручивание в памяти прошедших разговоров и невольное стремление воображать какие-нибудь ужасные собственные действия, например убийства других людей. Люди, страдающие ОКР, нередко бывают исключительно хорошими, потому что изо всех сил стараются не делать ничего плохого. Им часто бывают свойственны навязчивое стремление к нравственному поведению и кристальная честность. Их одержимость правдивостью может доходить до абсурда, как у пациента, рассказывавшего о себе: “Если бы в разговоре с вами я упомянул, что видел некую женщину в красном платье, я сразу бы начал думать: ‘А точно на ней было именно красное платье? Не может ли быть, что оно было какого-то другого цвета?’ Даже если цвет платья этой дамы не имеет для вас ровно никакого значения, как только мне пришла бы в голову мысль, что я мог ввести вас в заблуждение, я начал бы думать: ‘Следует ли мне признаться, что я назвал не тот цвет, или так и жить с этим чувством вины?’ Поэтому я пытаюсь не говорить ничего, что может оказаться неправдой. Я всегда добавляю перед каждым утверждением ‘по-моему’, или ‘насколько я понимаю’, или ‘возможно’. Это своего рода ритуал, помогающий мне никогда не говорить неправду”8.
Формы поведения, связанные с ОКР, мало чем отличаются у жителей разных стран. Две самых распространенных вызваны склонностью постоянно что-либо мыть или проверять. Люди, которым постоянно нужно мыть руки с мылом, иногда до крови натирают кожу. Те же, кому нужно непрерывно что-нибудь проверять, нередко сталкиваются с тем, что на это занятие у них уходит почти все время. Один такой человек неудержимо стремился убедиться в том, что он никого не сбил, когда ехал на машине. Ему приходилось вставать с зарей, чтобы два или три раза осмотреть дорогу от дома до работы на предмет признаков аварии. Путь домой также приходилось повторять неоднократно. Но несмотря на это его день и ночь тревожила мысль, не мог ли он, тщательно обследуя свой маршрут, каким-то образом пропустить скатившийся в канаву труп задавленного им человека9. К другим вариациям на ту же тему относятся ипохондрия (навязчивая склонность проверяться на признаки различных соматических заболеваний) и дисморфофобия (убежденность в собственном мнимом уродстве). Считается также, что с ОКР связано около половины известных случаев навязчивой склонности выдергивать у себя волосы.
Все эти психические и поведенческие ритуалы, подобно тикам у пациентов, страдающих синдромом Туретта, представляют собой фрагменты ранее полученных навыков. Но в данном случае в основе таких действий лежат не обрывки личных воспоминаний, а врожденные инстинкты. Инстинктивная склонность к чистоте, к постоянной проверке окружающей обстановки на предмет обнаружения чего-либо неправильного, стремление к порядку и равновесию — все это функции, необходимые для выживания. У людей, страдающих ОКР, они просто отрываются от системы выживания и принимают форму самостоятельных, неуместных и непропорционально усиленных привычек.
Симптомы ОКР, как и симптомы синдрома Туретта, по-видимому, связаны с гиперактивностью определенных проводящих путей головного мозга. В случае ОКР это пути, соединяющие лобную долю (в том числе премоторную кору) с другой частью базальных ганглиев — хвостатым ядром. Хвостатое ядро соединено со скорлупой и в ходе развития зародыша формируется как единая с ним структура. Главное различие между ними состоит в том, что скорлупа связана преимущественно с премоторной корой, а хвостатое ядро связано с лобными долями, где осуществляются высшие когнитивные функции: мышление, оценивание и планирование. Хвостатое ядро здорового человека присматривает за некоторыми сторонами машинального мышления, точно так же как скорлупа контролирует машинальные движения. Именно хвостатое ядро машинально заставляет нас мыть руки, когда они испачканы, напоминает, что нужно проверить, заперта ли дверь, когда мы выходим из дома, и предупреждает обо всем, что не в порядке, обращая на это наше внимание.

Хвостатое ядро тесно связано с миндалиной, в которой возникают чувства страха и беспокойства. Гиперактивностью хвостатого ядра, стимулирующей активность миндалины, может отчасти объясняться повышенная тревожность, наблюдаемая у людей, страдающих ОКР.
Хвостатое ядро проделывает все это, активируя конкретную область лобной доли — небольшой участок орбитальной коры (расположенной прямо над глазом части лобной доли). Именно эта область активируется у нас в мозге всякий раз, когда мы сталкиваемся с чем-нибудь неожиданным. Этот участок был обнаружен в ходе опытов на обезьянах, которые проводил в Оксфордском университете профессор Эдмунд Ролле. Перед животными зажигали синий и зеленый свет, приучая их ассоциировать синий с наградой в виде фруктового сока, а зеленый — с солевым раствором. После того как они улавливали связь сока с синим, а соли с зеленым, питье меняли местами. Теперь при синем свете обезьяны получали солевый раствор. Когда это происходило, в их мозге сразу же активировалась область, прежде остававшаяся неактивной. Возбуждавшиеся при этом нейроны орбитальной коры реагировали не на соленость: за различение вкусов и чувство отвращения отвечают другие области мозга. Причиной активации данной области было именно неожиданное открытие: что-то не в порядке. Это была реакция, осуществляемая встроенным в мозг механизмом обнаружения ошибок. Когда же обезьяны привыкали время от времени получать при синем свете соленое питье вместо обычного сладкого, такая реакция больше не наблюдалась.
Проведенные впоследствии томографические исследования человеческого мозга показали, что эта область особенно активна у людей, страдающих ОКР. Когда людей с навязчивой склонностью мыть руки просят представить себя в каком-либо грязном месте, их хвостатое ядро и орбитальная кора очень возбуждаются. Сильно реагирует также одна из областей в средней части мозга — поясная кора. Этот участок мозга отвечает за восприятие сознательных эмоций, и его вовлеченность указывает на вызываемый ОКР эмоциональный дискомфорт.
Сходная картина активности мозга наблюдается и у здорового человека, если уговорить его крепко задуматься о страшной катастрофе, например, представить, как горит дом, а его семья находится внутри. После того как люди представляли себе что-либо подобное и исследователи просили их расслабиться и выбросить из головы страшные мысли, у тех из испытуемых, кто страдал ОКР, по-прежнему наблюдалось возбуждение в хвостатом ядре и орбитальной коре. Таким пациентам было не важно, что лаборатория и их руки явно чисты: мысль о загрязнении преследовала их неотступно. Когда же испытуемому удавалось после опыта вымыть руки, ощущение загрязненности иногда ослабевало. Тогда повторное сканирование головного мозга могло не выявить особой активности хвостатого ядра или орбитальной коры. Но вскоре соответствующие сети опять загорались, и навязчивое желание вымыть руки возвращалось. У этих людей механизм обнаружения ошибок по какой-то причине заело во включенном положении, и как бы часто человек ни пытался его выключить, неисправный механизм продолжал подавать сигнал тревоги.
Диагноз “ОКР” ставят в тех случаях, когда обсессии (навязчивые состояния) и компульсивные побуждения достаточно тяжелы и мешают нормальной жизни. В зависимости от принятых в разных системах здравоохранения критериев подобный диагноз получают от одного до трех человек из ста, причем приблизительно такое же соотношение наблюдается везде, где по данному показателю имеется статистика10. Но человеку не обязательно страдать ОКР, чтобы его неотступно преследовала мысль о том, что в мире все не так. Люди, постоянно занимающиеся уборкой и наведением порядка, люди, не способные уснуть, не проверив два или три раза, что двери заперты, люди, вдвое чаще обычного проходящие всевозможные медосмотры и тем не менее опасающиеся, что они страдают каким-либо смертельным заболеванием, — все они могут быть жертвами слишком чувствительной системы обнаружения ошибок — нейронной сети, активирующейся слишком легко и сохраняющей активность слишком долго.

То же самое может относиться к людям, чрезмерно обеспокоенным тем, что о них подумают. Точно так же, как потребность мыть руки или проверять, заперты ли двери, проистекает из потребности почувствовать себя в безопасности, обеспокоенность мнением окружающих может корениться в нужде в поддержании статуса в своей социальной группе. Навязчивые идеи, связанные с этим статусом, могут приводить, например, к тому, что человек снова и снова вспоминает во всех подробностях разговор, анализируя, что он сказал, а чего не сказал, и беспокоясь по поводу любой непреднамеренной или мнимой обиды, которую он мог кому-либо нанести.
Стремление людей, в той или иной степени страдающих ОКР, быть “хорошими” и их потребность в следовании ритуалам могут способствовать тому, что многие из них становятся глубоко религиозными и нередко вступают в секты, где их стремление к личной безопасности удовлетворяется оставляющей мало места для сомнений приверженностью всех единоверцев четкому набору ценностей. Возможно, что и у синдрома Туретта есть отголоски, проявляющиеся даже ) здоровых людей. Любители шмыгать носом или часто моргать, девушки, постоянно убирающие с глаз воображаемые пряди волос, — не связано ли это с активностью нейронов скорлупы?
То же самое может относиться к людям, постоянно стремящимся удовлетворять какую-либо ненасытную потребность. Они живут в непрерывном поиске предмета своего вожделения: секса, еды, риска или наркотиков. Американские генетики Кеннет Блум и Дэвид Камингс назвали эту разновидность ненасытности синдромом дефицита удовлетворенности и предложили объединить под этим названием необычайно широкий спектр расстройств. В зависимости от того, какая часть системы вознаграждения (а значит, и какая часть мозга) особенно сильно нарушена, человек может демонстрировать всевозможные отклонения: от слабых форм тревоги, раздражительности или склонности к риску до расстройств пищевого поведения, шопоголизма и игромании, наркомании и алкоголизма11. Синдром дефицита удовлетворенности, как следует из названия, делает людей неспособными удовлетворяться ничем из того, что они могут получить. Что-то в механизмах работы их мозга делает для них удовлетворение потребности недостижимым.

Наш головной мозг пользуется методом кнута и пряника, побуждая нас стремиться к тому, что требуется для нашего выживания, и достигать соответствующих целей. Внешний (такой как вид еды) или внутренний стимул (такой как снижение уровня глюкозы) регистрируется лимбической системой, создающей в ответ побуждение, воспринимаемое сознанием как желание. Затем кора больших полушарий дает организму указания, как себя вести, чтобы это желание осуществилось. Активирующиеся при этом области мозга посылают сигналы обратно в лимбическую систему, где выделяются подобные наркотикам неиромедиаторы, повышающие уровень находящегося в обороте дофамина и вызывающие чувство удовлетворения.
Эта разновидность неудовлетворенности распространена весьма широко: по некоторым данным, хотя бы одним из недугов, отнесенным Блумом и Камингсом к синдрому дефицита удовлетворенности, страдает каждый четвертый12. Многие из этих недугов трудноизлечимы, потому что затрагивают все уровни работы мозга. Хотя все побуждения в конечном счете связаны с потребностями организма, некоторые из побуждений могут вызывать очень сложные формы поведения, которые порой становятся самоцелью. Например, побуждение к питанию может запустить необычайно сложную последовательность действий, позволяющих не только добывать пищу, но и тщательно отбирать ее и готовить изысканные блюда. Тому, кто вкусил двойного печенья с шоколадной крошкой и мороженого из йогурта (по опыту автора этой книги), достаточно и слабейшего побуждения, чтобы совершить паломничество к холодильнику. Таким образом, наши побуждения затрагивают и простейшие функции мозга (например, в случае голода — отслеживание уровня глюкозы), и самые сложные. В анатомических терминах это означает все — от ствола мозга до коры лобных долей.
Эта сложная система сложилась за миллионы лет эволюции и до недавнего времени неплохо нам служила. В мире, где не хватало ресурсов, она вознаграждала нас и за действия, совершаемые в погоне за удовольствием, и за достижение соответствующих целей, гарантируя, что люди станут гнаться за будущим ужином, пока есть силы, или трудиться достаточно долго и усердно, чтобы получить довольно пищи для выживания. Одна беда: эволюция перестала поспевать за человеческой изобретательностью. Теперь у нас есть возможность поужинать, вынув из пластиковой упаковки и разогрев свиную отбивную, а не гоняться за кабаном и не убивать его своими руками. Неудивительно, что наши убогие достижения приносят так мало удовлетворения.
Постепенно вырисовывающаяся карта мозга дает нам возможность все лучше разбираться в том, где и как мы, вероятно, можем изменить его устройство и работу, чтобы он служил лучше, чем служит в своем нынешнем виде, сформированном эволюцией. Фармацевтические компании уже вкладывают огромные деньги в разработку препаратов, которые должны позволить нам влиять на связанные с внутренними побуждениями формы нашего поведения, влияя на количество различных нейромедиаторов. Поведенческая фармакология уже стала одной из признанных фармакологических специальностей.
За фармацевтикой придет генная инженерия. Система, некогда так хорошо нам служившая, закодирована в генах, и скоро в нашем распоряжении, по-видимому, окажутся знания и технологии, которые позволят “чинить” гены, чтобы мозг лучше соответствовал современным потребностям людей.
Генетические основы нашей системы побуждений и вознаграждений весьма сложны. К настоящему времени исследователи выявили более полутора тысяч мутаций генов человека, по-видимому, влияющих на формирование всевозможных зависимостей, которые представляют для человечества серьезную проблему. Судя по всему, все гены, в которых происходят эти мутации, влияют лишь на небольшой набор дофаминовых проводящих путей13.
Многие испытывают инстинктивное отвращение к самой мысли, что можно совершенствовать свой вид подобным образом. Они видят в этом обман природы или игру в Бога. С подобным вмешательством в дела природы действительно связаны определенные опасности, от развития устойчивости к антибиотикам у микробов до какого-нибудь франкенштейновского монстра. Последствия излишней самонадеянности ученых постоянно дают о себе знать.
Но есть опасность и в том, чтобы жить с оснащением, в некоторых отношениях устаревшим. Эволюция создала изумительные механизмы, помогающие выживанию, но она не способна изменять нас столь же быстро, как мы можем менять свою жизнь и окружающий мир. Может быть, нам пора уже воспользоваться выработанной за многие миллионы лет изобретательностью, чтобы лучше приспособиться к среде, которую мы сами для себя создаем?
Более 800 000 книг и аудиокниг! 📚
Получи 2 месяца Литрес Подписки в подарок и наслаждайся неограниченным чтением
ПОЛУЧИТЬ ПОДАРОК