Нарушение плодовитости в реципрокных скрещиваниях

Точно так же Поль выдвигает тезис и об «идентичности нарушений гаметогенеза в реципрокных скрещиваниях».

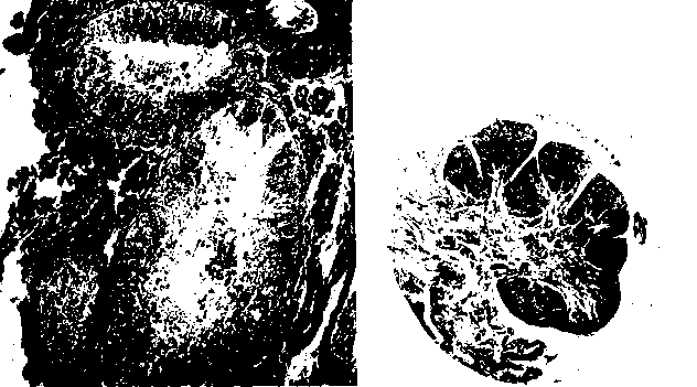
Рис. 57. Разрез через яичник в брачный период гибрида мускусной утки и кряквы (по Полю).

Ввиду важности для преодоления бесплодия этого вопроса остановимся на нем несколько подробнее. Несомненно, что для этого обобщения Поля еще меньше оснований, и известен ряд прямо противоположных случаев. Стоит сравнить например различную судьбу реципрокных скрещивании сильнополых и слабополых рас непарного шелкопряда в опытах Гольдшмидта (см. ниже, стр. 200), в которых водном случае получались самки нормальные, а в другом — интерсексуальные, совершенно бесплодные. Но даже и для птиц это положение не только нельзя еще принять, но самим же Полем добыты и противоположные данные, прекрасным примером чего являются упоминавшиеся уже реципрокные скрещивания мускусной утки ? домашней.

Рис. 58. Разрез через семенник в брачный период гибрида чилийской свиязи и чилийской шилохвости (по Полю).

Рис. 59. Разрез через яичник брачного периода гибрида чилийской свиязи и чилийской шилохвости (по Полю).

Гибриды — дочери Cairina ? ? ? Anas имеют совершенно недоразвитый яичник, что подтверждено многократно получавшимися гибридами этого типа, от которых ни разу не удалось получить ни одного яйца. Наоборот, реципрокные гибриды Anas ? ? ? Cairina несут яйца нормального строения, но несколько меньших размеров. Развития их впрочем не удалось получить.

Рис. 60. Разрез через семенник в брачный период гибрида каролинки и свиязи (по Полю).

Рис. 61. Разрез через яичник в брачный период гибрида каролинки и свиязи (по Полю).

Яичники этих гибридов сильно отличаются от реципрокных, содержат мелкие и крупные желтки, хотя размеры этих яичников никогда не достигают даже приблизительно нормальных размеров чистых видов. Но, с другой стороны, они никогда не редуцируются до степени «печоночно-коричневых лепешечек» с очень редкими, часто лишь под микроскопом различимыми яйцами, что типично для гибридов Cairina ? Anas. Наиболее дегенерировавшие яичники Anas ? Cairina и наилучше развитые яичники Cairina ? Anas несколько приближаются друг к другу по внешнему виду и по гистологическому строению, но тем не менее — различия остаются столь ясными, что одного взгляда на яичник достаточно, чтобы определить, с какого типа гибридом мы имеем дело (Poll и Tiefensee, 1907, Соколовская, 1934).

Возможно, что с точки зрения классификации, данной Полем, описанные реципрокные гибриды попадают в одну группу димитозных стейронотов. Но конечно совершенно невозможно утверждать, что степень нарушения гаметогенеза в этих реципрокных скрещиваниях одинакова. Она несомненно различна, и то, что в этом случае различие не перешло за грани группы, никак не дает права обобщать этот и очень немногие другие избранные Полем случаи в гибридологическую закономерность. Она в частности может иметь место только тогда, если ни Y-хромосомы ни цитоплазмы (строение яйца) не имеют никакого значения и баланс М- и F-генов. между половыми хромосомами и аутосомами распределен, у обоих видов совершенно одинаково.

Более 800 000 книг и аудиокниг! 📚

Получи 2 месяца Литрес Подписки в подарок и наслаждайся неограниченным чтением

ПОЛУЧИТЬ ПОДАРОК